Élongation coronaire en secteur antérieur : avec ou sans guide

  • Publié le . Paru dans L'Information Dentaire n°2 - 15 octobre 2025
Information dentaire
L'élongation coronaire à visée esthétique ou prothétique représente un besoin quotidien dans le traitement des patients en omnipratique. En effet, en dentisterie esthétique, la gestion de la taille et de la forme idéale de la restauration [1] se révélant critique pour atteindre un succès thérapeutique, la composante parodontale doit être adressée la plupart du temps.

Séance Battle B37

Mercredi 27 novembre – 14h/17h
Responsable scientifique : Nicolas Henner
Conférenciers : Perrine Balland, Jean-David Boschatel

Objectifs
• Comprendre les principes fondamentaux de l’élongation coronaire
• Savoir choisir la bonne technique (avec ou sans guide)
• Apprendre à harmoniser l’interface dento-gingivale pour améliorer l’esthétique

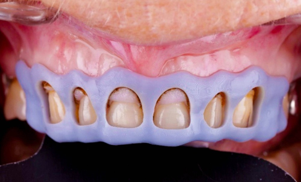
L’indication clinique principale de l’élongation coronaire est la présence de dents trop courtes [2] qui résultent d’un côté d’un manque d’exposition de la structure dentaire, et de l’autre d’un excès d’exposition gingivale dans le sourire, nécessitant un allongement des couronnes cliniques [3]. De nombreuses techniques ont été décrites pour traiter ces situations, améliorant la qualité de traitement avec des bénéfices autant pour le patient que pour le praticien. Depuis quelques années, l’arrivée du digital dans les cabinets et les laboratoires de prothèse a provoqué un changement des habitudes et des flux de travail. Comme pour la chirurgie guidée en implantologie orale, il est maintenant possible de concevoir et de produire des guides imprimés, élaborés à partir d’une étude mettant en rapport l’architecture osseuse autour des dents à traiter grâce à l’acquisition cone-beam (fichier DICOM) et le projet thérapeutique final, conçu à partir des empreintes optiques des arcades dentaires (fichiers STL). Ce projet sera construit en relation avec le visage du patient à l’aide de photographies cliniques normées [4]. La précision d’adaptation de ces guides et leur logique de conception, d’un côté leur donnent un caractère séduisant, mais de l’autre peut être ressenti comme plus consommateur de temps en pré et per-opératoire par le praticien et plus coûteux pour le patient.

Au cours de cette battle, nous explorerons les principes.. les principes biologiques et chirurgicaux fondamentaux de la technique d’élongation…

Cet article est réservé aux abonnés.
Pour lire la suite :

Vous êtes abonné.e ? Connectez-vous
Mot de passe
oublié ?

Vous pouvez également :

Acheter le numéro À l'unité

Thèmes abordés