À la une

Vie de la professionUn accord des partenaires sociaux, le 12 février, en Commission paritaire pour l’emploi de la branche des cabinets dentaires, réévalue de 1,5 % le taux horaire des emplois qualifiés : assistant et aide dentaire, secrétaire technique et prothésiste dentaire. Cet accord s’applique dès à présent, avec effet rétroactif depuis le 1er janvier 2026, aux employeurs adhérents des organisations patronales signataires de…

Édition abonnés

L'Information Dentaire

N° 6 | 18 February 2026

Stratégie Prothétique

N° 1 | 15 February 2026
Prothèse amovible

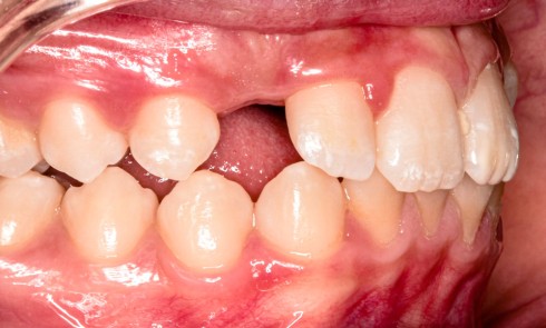
Article réservé à nos abonnés L’implantologie au service de la prothèse amovible partielle

L’édentement partiel constitue un défi majeur dans les réhabilitations prothétiques, tant sur le plan esthétique que fonctionnel. En effet, la...
Prothèse

Article réservé à nos abonnés Préserver sans compromis : réhabilitation esthétique par facettes no-prep et bridge collé canin en disilicate de lithium

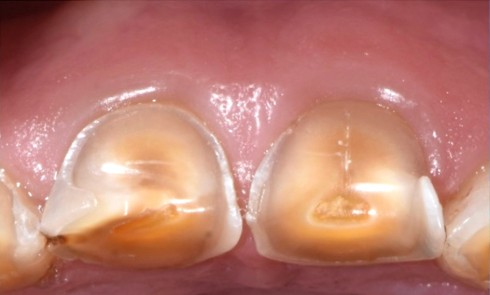
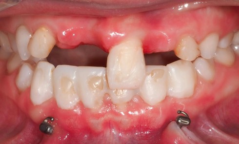
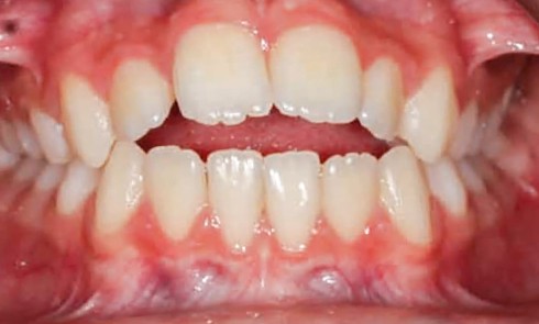
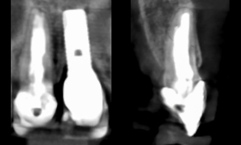
Parmi les anomalies de nombre, l’inclusion présente un intérêt clinique majeur en raison de la complexité de ses étiologies et...

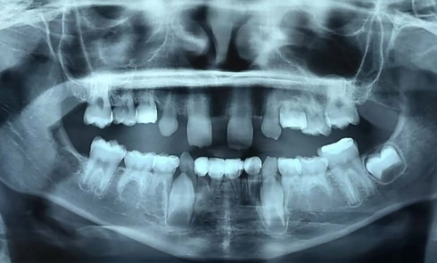
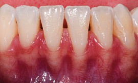
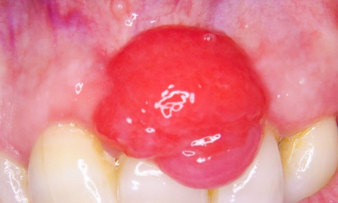
Article réservé à nos abonnés Restaurer sans compromettre : l’articulation subtile entre prothèse et parodontologie

Le lien étroit entre la prothèse et la parodontologie est un sujet vaste, susceptible d’alimenter des débats passionnés entre cliniciens....

Article réservé à nos abonnés Comprendre la dysesthésie occlusale : apports cliniques et neurophysiologiques

La dysesthésie occlusale (DO) se définit comme une perception anormale et persistante de l’occlusion, générant un inconfort important malgré l’absence...

Article réservé à nos abonnés Les matériaux de restauration fibrés dans le traitement de la dent dépulpée : indications et limites

La restauration des dents traitées endodontiquement et délabrées représente un défi majeur en chirurgie dentaire. Leur structure compromise en raison...
Prothèse fixée

Article réservé à nos abonnés Les couronnes périphériques : vertiprep versus préparations horizontales

Responsable de séance : Adrien Lavenant Intervenants : Olivier Etienne, Dorian Bonnafous De quoi parle-t-on ? Préparations horizontales Les préparations horizontales reposent...
Prothèse fixée

Article réservé à nos abonnés La couronne périphérique : monolithique ou stratifiée ?

Responsable de séance : Olivier Leroux Intervenant : Philippe Boitelle   Matériaux Les alliages métalliques historiquement utilisés sont aujourd’hui dépassés en raison...
Prothèse fixée

Article réservé à nos abonnés Usures et DVO : 100 % clinique

Responsable de séance : Emmanuel d’Incau Intervenants : Emmanuel d’Incau, Jean-Christophe Paris, William Pacquet, Romain Ducassé Dépistage et étiologies des usures dentaires pathologiques...

Séance CNO : “Docteur, ma mâchoire craque” : quelle conduite à tenir ?

Durée : 03:53 Faut-il forcément traiter les bruits articulaires ? Tout d’abord, il est nécessaire de faire un…

Protégé : La parodontologie tout simplement – Consultation

Il n’y a pas d’extrait, car cette publication est protégée.

ADF 2025 : E-journal Id

A l'occasion de l'édition 2025 du congrès de l'ADF, L'Information Dentaire vous propose un e-journal quotidien, synthèse des temps forts de la journée : séances scientifiques, nouveautés de l'industrie, interviews des conférenciers, évènements marquants... Pour le recevoir chaque soir, inscrivez-vous…

Voir le dossier
Avec le soutien institutionnel de
Dentsply Sirona
Elmex
Meisinger
Sensodyne par Haleon
Ultradent

Chirurgien-dentiste, Médecin, Pharmacien, unis pour la Santé Bucco-dentaire….

Les pathologies bucco-dentaires touchent tous les catégories d’âge et particulièrement les plus de 35 ans dont 50 % présentent un problème parodontal(1). Dans une démarche de prévention ou de traitement, nombreux sont les professionnels de santé qui peuvent agir pour…

Voir le dossier
Avec le soutien institutionnel de
Sensodyne par Haleon

Mini-série PAD :
les conseils de Jennifer et Sabine
Assistantes dentaires en action

Et si les bons mots suffisaient à transformer la routine d’hygiène bucco-dentaire de vos patients en un soin efficace et intuitif ? Transformer les habitudes d’hygiène bucco-dentaire de vos patients n’est pas toujours simple. Pourtant, les assistant(e)s dentaires ont un…

Voir le dossier
ET
Philips Sonicare

Europerio 2025 : Flash Infos ID / PIO

Du 14 au 17 mai, 10 000 participants de 107 pays se sont réunis à Vienne pour célébrer la parodontologie et l’implantologie. Avec plus de 100 sessions, le congrès organisé par l’European Federation of Periodontology (EFP) a permis de présenter…

Voir le dossier

Gestion et organisation du cabinet

En collaboration avec l'Information Dentaire, la Binhas Global Dental School vous propose un espace entièrement dédié à la gestion et l'organisation de votre cabinet dentaire. Retrouvez tous nos conseils, recommandations et ressources (infographies, livres blancs, vidéos...) pour gagner en sérénité,…

Voir le dossier
Avec le soutien institutionnel de
Binhas Global Dental School

Webinars

La bouche victime ou vectrice des maladies infectieuses

Comme l’actualité le démontre de façon criante, les maladies infectieuses sont un problème de santé publique majeur. La bouche peut en être victime ou vectrice. L’odontologiste a donc un rôle essentiel à jouer pour les prévenir, mais aussi les dépister…

Voir le webinar
Avec le soutien institutionnel de
GSK

Maladies parodontales, diabète et convention

Le lien bidirectionnel entre les maladies parodontales et le diabète est déjà bien établi. Le diabète est un vrai problème de santé publique et le nombre de personnes atteintes ne cesse d’augmenter au niveau mondial. Le patient diabétique a trois…

Voir le webinar
Avec le soutien
institutionnel de
GSK
- Id présent

Prothèse implantaire biomimétique unitaire et partielle

Marwan Daas, Édouard Cristofari
en collaboration avec Gil Tirlet et Jean-Pierre Attal

Les MIH de A à Z

Elsa Garot, Patrick Rouas

L'Information Dentaire

L'hebdo de la médecine bucco-dentaire
44 numéros par an

Réalités Cliniques

La formation d’excellence
4 numéros par an

Stratégie Prothétique

La prothèse sous toutes ses formes
5 numéros par an

Biomatériaux Cliniques

L’innovation au cœur de la profession
2 numéros par an

Profession Assistant(e) Dentaire

La revue de référence des assistant(e)s dentaires
5 numéros par an

L'Orthodontiste

La revue didactique de formation continue, d’orthopédie dento-faciale
5 numéros par an