15 questions (et leurs réponses) pour mieux appréhender cette anomalie de structure fréquente
Samedi 29 novembre – 9h/11h30
Responsable scientifique : Patrick Rouas
Conférenciers : Élodie Aiëm, Margot Riou, Caroline Leverd
Objectifs
• Maîtriser les connaissances actualisées sur les MIH
• Maîtriser les thérapeutiques non invasives et micro-invasives adaptées aux MIH
• Maîtriser les stratégies de prise en charge face aux délabrement tissulaires
1. En deux mots, qu’est-ce qu’une MIH ?
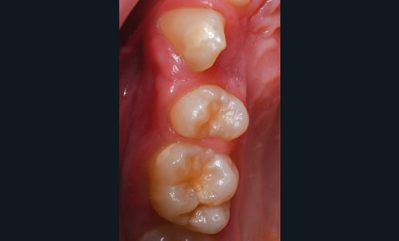
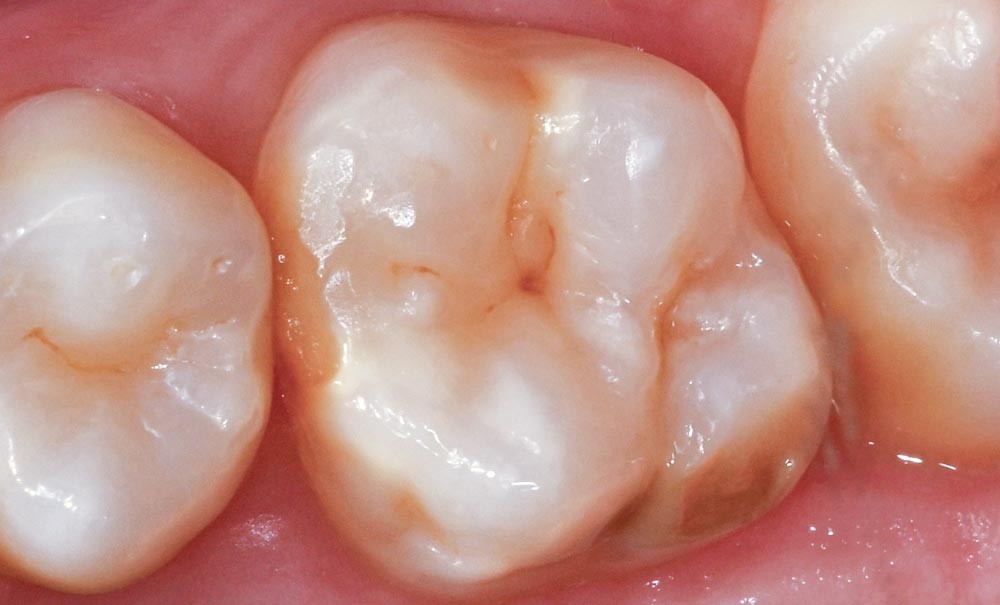
Les hypominéralisations molaires incisives sont des anomalies de structure de l’émail qui concernent au moins une première molaire permanente, associées de manière inconstante aux incisives permanentes [1]. D’autres dents peuvent également être atteintes, mais de manière moins fréquente comme les canines permanentes au niveau de leur pointe, ou encore les secondes molaires permanentes ou les prémolaires. Les lésions liées aux MIH se manifestent cliniquement par des opacités délimitées de l’émail blanches, jaunes ou brunes, asymétriques à l’échelle des arcades comme à l’échelle de la dent, opacités correspondant à des hypominéralisations (fig. 1). Des fractures amélaires post-éruptives peuvent survenir au niveau de ces défauts [2] (fig. 2).
2. Prévalence : une anomalie si fréquente que cela ?
Les études de prévalence se sont multipliées ces dernières années, analysant des populations, des régions, ou des pays différents selon des critères bien définis. La prévalence oscille entre 13 % et 14 % au niveau mondial d’après les dernières méta-analyses [3-5]. Cela correspond à un enfant sur sept atteint. Une étude récente effectuée en France sur près de 900 enfants scolarisés relève près de 19 % de cas de MIH, soit près d’un enfant sur cinq atteint [6].
3. Comment distinguer les MIH des autres anomalies de l’émail ?
Le diagnostic des MIH…

