La 95e Réunion scientifique de la SFODF comportait un pré-cours DPC, présenté par le Dr Laurent Delsol, MCU-PH à Montpellier, avec des interventions appréciées et documentées du Pr Michel Le Gall, fut consacré à la réévaluation thérapeutique face à une salle comble. Il s’est même dit que le Président de la République était présent sur place pour le passage de la flamme olympique ! Un événement exceptionnel que les congressistes ont donc pu admirer en première loge.
En parallèle de ce spectacle inoubliable, le pré-cours fut ainsi l’occasion de se concentrer sur la question de la réévaluation thérapeutique et de réfléchir à comment rectifier le tir.
Définie par le dictionnaire Larousse comme « l’action d’évaluer de nouveau, de rectifier la précédente évaluation », la réévaluation peut être nécessaire pour un patient arrivé en transfert, mais également pour un patient ayant débuté son traitement d’orthodontie dans notre cabinet et pour lequel un changement du plan de traitement est requis, comme dans les situations présentées dans les pages suivantes.
Dent incluse
La réorientation vers une traction s’avère parfois nécessaire quand, après expansion (fig. 2), l’éruption ne se fait pas spontanément (fig. 3-5). Après traction (fig. 6), un traitement fixe multi-attache classique fut mis en place (fig. 7, 8). Les figures 9a-d présentent le résultat final.
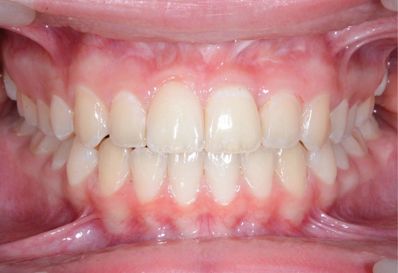
Dent ankylosée
L’ankylose (fig. 10a, b) peut être traitée par l’Orthodontic Bone Stretching (OBS), une technique qui associe une corticotomie profonde à un traitement orthodontique (fig. 11a, b), afin d’obtenir un déplacement dentaire orthodontique (fig. 12a-c).
[gallery…





















