Cas clinique
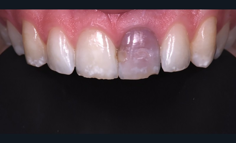
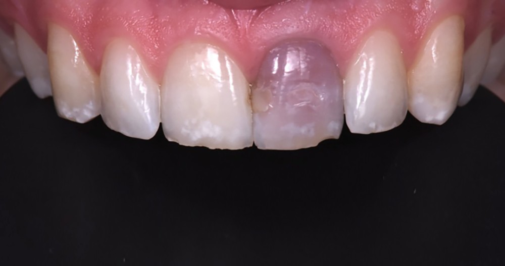
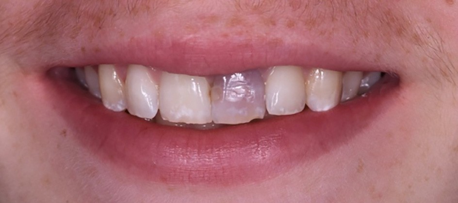
Patient de 15 ans qui se présente au cabinet car il est gêné par la couleur de son incisive centrale (21) (fig. 1 et 2).
1. Avez-vous assez d’éléments pour connaître l’étiologie de cette coloration ? Que vous manque-t-il ?
Ici, la couleur rouge violet fait penser à une hémorragie pulpaire secondaire à un trauma [1], une anamnèse précise, un test de vitalité pulpaire et une radio seront nécessaires.
2. Le patient a subi plusieurs chutes, la dernière à la patinoire, il y a 2 ans. Le test de vitalité est négatif. Que cette indication révèle-t-elle ? Que manque-t-il ?
Il s’agit bien d’un trauma. Le trauma est ancien et la dent devrait répondre de manière positive au test de vitalité. Nous ne savons pas à ce moment si une oblitération pulpo-canalaire (OPC) est présente, il nous manque une radio rétro-alvéolaire.
3. Une radio rétro-alvéolaire est prise. Le test de vitalité est négatif sur 21, mais aussi sur 11. Que vous apprend cette radio ? Quel est alors votre plan de traitement ?
Sur cette rétro-alvéolaire, on voit une LIPOE au niveau de 21. Il n’y a pas d’OPC sur 21 pouvant expliquer une perte de sensibilité. Ces deux signes cliniques nous indiquent que la 21 a subi un trauma et que l’hémorragie pulpaire a perduré et évolué vers une nécrose. La coloration est due à l’hémorragie pulpaire, mais aussi aux toxines bactériennes présentes dans la pulpe.
En revanche, la 11 n’a aucun signe radiographique péri-apical, mais une OPC partielle qui explique la perte de sensibilité de la dent.
Le plan de traitement est le suivant : traitement endodontique de 21. Après quoi, il faudra masquer la dyschromie inesthétique de cette dent
En ce qui concerne la 11, l’absence de signes cliniques justifie une simple mise sous surveillance [2].


