À propos d’un cas ortho-paro

  • Publié le . Paru dans L'Orthodontiste n°2 - 30 avril 2018
Information dentaire
Alix Le Breton Interne en orthopédie dento-faciale des Hôpitaux de Paris, Hôpital Bretonneau, Paris Descartes
Mme R., 63 ans, est adressée en consultation d’orthodontie de l’hôpital Bretonneau (Paris 18e) par le Dr Chacun, parodontologiste à l’hôpital Albert-Chenevier (Créteil).

Examen clinique

Sur le plan exobuccal (fig. 1 à 2), la patiente présente un profil sous-nasal concave, une birétrochéilie et une bascule du plan d’occlusion en bas à droite.
 
Sur le plan squelettique, elle présente une classe I de Ballard sur un schéma facial normodivergent (fig. 3).
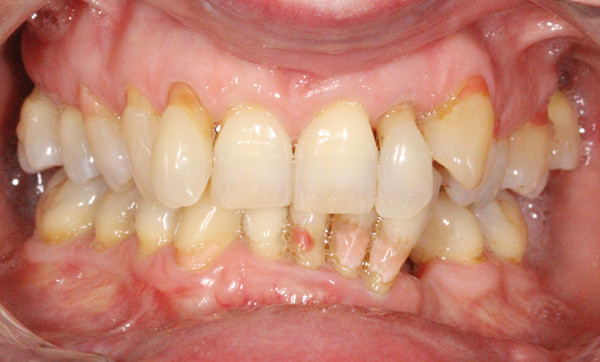
Sur le plan dentaire (fig. 4 à 8), elle présente une classe II subdivision gauche, un surplomb diminué et un recouvrement très augmenté. La formule dentaire est incomplète. Les incisives maxillaires et mandibulaires sont très linguoversées. Le milieu mandibulaire est dévié de 5 mm à gauche. À noter également, une DDM importante (en tenant compte du remplacement prothétique de 33 et 34).
 
Sur le plan parodontal, la patiente présente une parodontite chronique stabilisée généralisée modérée à sévère (fig. 9).

Discussion

Sans traitement, le risque principal est l’aggravation de la supraclusion [1] pouvant conduire à la perte prématurée de ses incisives mandibulaires [2] sans possibilité de réhabilitation prothétique du fait de l’absence d’espace prothétique suffisant.
 
Avec traitement, le pronostic est bon. Au niveau du profil une amélioration est à espérer en raison de la vestibuloversion incisive prévue. Malgré le traitement et la correction de la supraclusion, le pronostic reste réservé pour les incisives mandibulaires.
 
Les objectifs de traitement sont d’obtenir une classe I d’Angle bilatérale, une normalisation du surplomb et du recouvrement, un alignement des points inter-incisifs, une horizontalisation du plan d’occlusion et enfin un espace prothétique suffisant pour le remplacement prothétique de 33 et 34.
 
Un appareillage multi-attache bimaxillaire .022x.028 inches en technique pré-informée selon Roth a été utilisé. Le traitement a commencé par le collage de l’arcade maxillaire (fig. 10), puis de l’arcade mandibulaire après diminution de la supraclusion. Une minivis a été posée secteur 1, afin de…

Cet article est réservé aux abonnés.
Pour lire la suite :

Vous êtes abonné.e ? Connectez-vous
Mot de passe
oublié ?

Vous pouvez également :

Acheter l'article En version numérique
Acheter le numéro À l'unité

Thèmes abordés

Sur le même sujet

ODF

Article réservé à nos abonnés Ronflements pathologiques, apnées et hypopnées obstructives : qu’entend-on par les troubles respiratoires obstructifs du sommeil de l’enfant (TROS) ?

Un sommeil de qualité est essentiel au développement harmonieux de l’enfant. Les troubles respiratoires obstructifs du sommeil (TROS) perturbent ce...
ODF

Article réservé à nos abonnés Syndrome d’apnées obstructif du sommeil et chirurgie

Collapsus pharyngé et décision chirurgicale Le collapsus pharyngé à l’origine du SAOS peut résulter de mécanismes variés, souvent associés. L’hypertrophie...
ODF

Article réservé à nos abonnés Rééducation et apnées du sommeil : du dépistage précoce à la personnalisation thérapeutique

Vers une médecine des 4P Le syndrome d’apnées-hypopnées obstructives du sommeil (SAHOS) touche aujourd’hui plusieurs millions de Français, et sa...
ODF

Article réservé à nos abonnés SAHOS et santé mentale de l’enfant et de l’adolescent

Le sommeil est essentiel pour la santé et le bien-être des enfants. Il est composé de patterns multidimensionnels d’alternances veille-sommeil,...
ODF

Article réservé à nos abonnés Des années de symptômes… au diagnostic : un cas révélateur de SAHOS chez l’enfant

Les enfants présentant un trouble respiratoire obstructif du sommeil (TROS) nécessitent une prise en charge pluridisciplinaire dans laquelle l’orthodontiste peut...
ODF

Article réservé à nos abonnés Le débaguage orthodontique, l’Art de conclure sans abîmer ! La fin du traitement ou le début d’une nouvelle responsabilité ?

Le débaguage orthodontique : la grande omerta d’une étape pourtant décisive Le débaguage orthodontique consiste dans le retrait des attaches orthodontiques collées sur...