Approche biomécanique illustrée des bridges collés cantilevers postérieurs en céramique

  • Par
  • Publié le . Paru dans Biomatériaux Cliniques n°2 - 15 octobre 2025 (page 82-86)
Information dentaire
Les bridges collés cantilevers postérieurs constituent aujourd’hui une alternative minimalement invasive à l’implant. Leur conception repose sur des principes biomécaniques comparant le connecteur à une poutre encastrée, où la résistance dépend de la hauteur, de la largeur, de la résistance du matériau, et de la portée. L’utilisation d’une zircone haute résistance (3Y-TZP) est recommandée, associée à une préparation strictement intra-amélaire pour préserver rigidité et adhésion. Les recommandations incluent, entre autres, la maximisation de la hauteur du connecteur, le contrôle précis des points de contact occlusaux et proximaux, ainsi qu’un design d’ailette adapté. Correctement réalisés, ces bridges présentent d’excellents taux de survie à moyen terme, soutenus par la modélisation par éléments finis et des études cliniques récentes.

Initialement proposés avec deux ailettes, les bridges collés sont aujourd’hui majoritairement réalisés en version mono-ailette, en céramique – le plus souvent en zircone, parfois en disilicate de lithium. Introduits dès 1997 par Kern et Gläser [1], ils ont progressivement intégré la pratique courante des omnipraticiens. Offrant d’excellents résultats cliniques, ils sont désormais, dans certaines situations antérieures, préférés à la pose d’implants, notamment en raison de leur simplicité, de leur caractère peu invasif, et de leur délai de traitement souvent plus court.
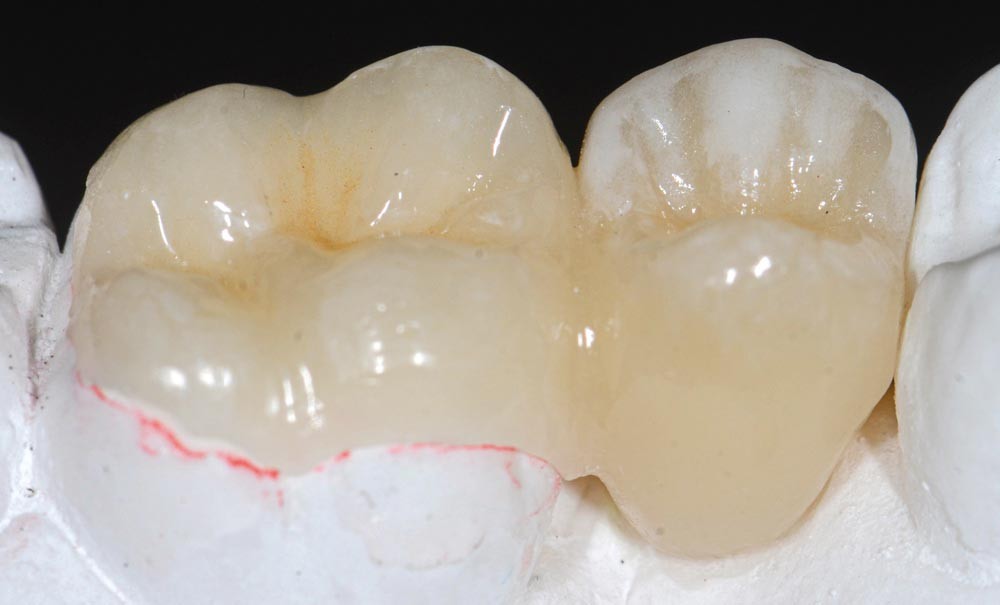
Plus récemment, des bridges collés cantilevers postérieurs (canines, prémolaires, molaires) en céramique ont été proposés (BCCPC). Ce sujet, encore émergent, fait l’objet de recherches actives au sein de plusieurs équipes internationales, dont celle de l’UMR 1333 Santé Orale. Trois études cliniques prospectives ou rétrospectives ont déjà évalué cette thérapeutique prometteuse, publiées à l’échelle internationale [2, 4]. En parallèle, notre équipe a également contribué à l’élaboration de recommandations cliniques, aussi bien dans des revues nationales qu’internationales, pour encadrer la réalisation de ces bridges collés postérieurs [5]. En effet, si cette solution prothétique présente des taux de succès de 100 % à 5 ans [2], elle n’en est pas moins sensible à la mise en œuvre, et certaines étapes clés doivent être respectées pour maximiser les résultats. Dans le secteur postérieur, la bonne gestion des contraintes mécaniques est essentielle. C’est pourquoi cet article propose, à partir d’illustrations, d’expliciter les spécificités biomécaniques propres à chaque étape de la réalisation de ces bridges pour en déduire les applications cliniques correspondantes.

Bases biomécaniques

Un bridge collé cantilever peut être comparé à une poutre encastrée d’un côté avec une extrémité libre (fig. 1)…

Cet article est réservé aux abonnés.
Pour lire la suite :

Vous êtes abonné.e ? Connectez-vous
Mot de passe
oublié ?

Vous pouvez également :

Acheter l'article En version numérique
Acheter le numéro À l'unité

Thèmes abordés

Sur le même sujet

Biomatériaux

Article réservé à nos abonnés À l’occasion de l’interdiction du cobalt-chrome en odontologie : la biocompatibilité en odontologie
(partie 2, clinique)

« Il faut toujours prendre le maximum de risques avec le maximum de précautions. » Rudyard Kipling Première partie de...
Biomatériaux

Article réservé à nos abonnés Classification clinique et modulaire des résines composites : la comprendre par l’image

Au cours des dernières années, la dentisterie restauratrice a connu une évolution marquée vers la simplification des procédures cliniques et...
Biomatériaux

Article réservé à nos abonnés Les colles universelles : comment classer cette colle aujourd’hui ? Est-ce le gold-standard de demain ?

Les colles ou résines de collage ont joué un rôle déterminant dans le passage d’une dentisterie fondée sur des principes...
Biomatériaux

Article réservé à nos abonnés Disilicate de lithium : microsabler ou ne pas microsabler, telle est la question ?

Technique incontournable en dentisterie, le microsablage facilite le nettoyage et la préparation des surfaces avant collage. Mais, appliqué au disilicate...
Biomatériaux

Article réservé à nos abonnés Analyse par Résonance Magnétique Nucléaire de l’interaction entre un ciment verre ionomère et la zircone

L’emploi des ciments comme matériaux d’assemblage de la zircone a été approuvé depuis plusieurs années [1]. Dans les cas où...
Biomatériaux

Article réservé à nos abonnés Les zircones : une nouvelle option pour la réalisation des inlays/onlays/overlays ?

Les inlays, onlays et overlays (IOOv) sont des restaurations partielles postérieures indirectes qui s’inscrivent pleinement dans le concept du gradient...