Situation clinique
Une patiente, fumeuse, anxieuse à l’idée de subir une chirurgie, consulte pour la réhabilitation des secteurs postérieurs maxillaires droit et gauche.
Durant son enfance, la patiente a suivi un traitement orthodontique qui a nécessité l’extraction des premières prémolaires maxillaires. Les 14 et 24 sont donc absentes.
Le secteur 1 présente un édentement postérieur de 15 à 17.
Au niveau du secteur 2, les dents 26 et 27 sont couronnées, fortement égressées, avec des atteintes parodontales terminales. La dent 25 est remplacée par un pontique en extension distale depuis un bridge dento-porté 13-23.
Plans de traitement envisagés
Le secteur 1 sera traité avec des implants en position 15 à 17 qui supporteront un bridge conventionnel de 3 éléments 15-(16)-17, les tissus durs et mous ne présentant pas de défaut particulier.
Concernant le secteur 2, le site 25 présente une crête osseuse fine nécessitant une régénération osseuse guidée (ROG) afin de pouvoir poser un implant dans de bonnes conditions (fig. 1).
La zone distale (26–27) offre un volume osseux important lié à l’égression des molaires, secondaire à la perte ancienne des molaires antagonistes.
Deux options thérapeutiques peuvent être envisagées en fonction des particularités anatomiques du site :
- deux implants, situés en 25 et 27 avec une ROG sur le site de la 25,
- deux implants, situés en 26 et 27 avec extension mésiale en 25.
Décision thérapeutique
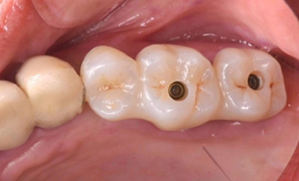
La patiente étant réticente à une chirurgie d’augmentation osseuse et non motivée à réduire sa consommation tabagique, nous avons privilégié l’option de deux implants en extraction-implantation-immédiate (EII) sur 26 et 27, avec un bridge céramique de 3 éléments avec extension mésiale en 25.
Traitement clinique
L’intervention chirurgicale s’est déroulée selon les étapes suivantes (fig. 2) :
- extraction atraumatique…

