Bridge collé cantilever vs Implant unitaire : analyse décisionnelle, implications biomécaniques et gestion clinique

  • Par
  • Publié le . Paru dans Réalités Cliniques n°4 - 15 décembre 2025 (page 74-84)
Information dentaire
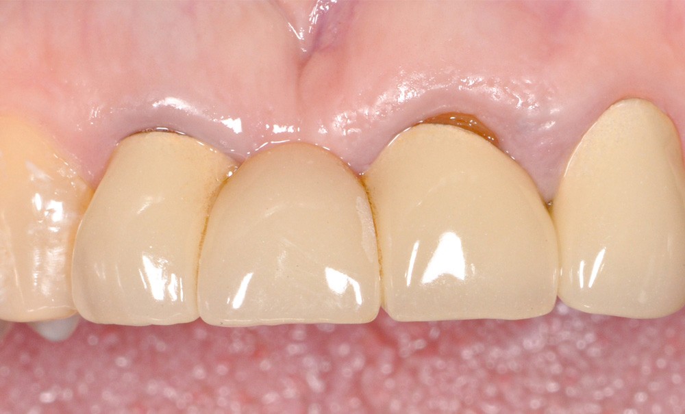
Le choix entre un bridge collé cantilever céramique et un implant dans la gestion de l’édentement unitaire repose sur des critères cliniques, biomécaniques et esthétiques complexes. Cet article examine les indications et contre-indications de ces solutions dans le secteur antérieur en prenant en considération la croissance faciale continue, les contraintes biologiques et la gestion des restaurations au long terme avec les risques d’échec. Des cas cliniques illustreront les implications décisionnelles de ces choix thérapeutiques.

La gestion de l’édentement unitaire, qu’il soit antérieur ou postérieur, demeure un enjeu quotidien en odontologie prothétique. Ce type de situation clinique, longtemps considéré comme du ressort quasi exclusif de l’implantologie, bénéficie aujourd’hui d’un éventail thérapeutique élargi, notamment grâce à l’évolution des techniques adhésives et à la fiabilité croissante des restaurations céramiques [1].

L’analyse de ces situations cliniques appelle à une réflexion qui s’inscrit dans une logique de gradient thérapeutique [2] combinant à la fois un gradient tissulaire — visant à préserver l’intégrité osseuse et gingivale — et un gradient dentaire — visant à limiter les pertes de substance sur les dents adjacentes à l’édentement. Le bridge collé cantilever céramique s’affirme comme une option prothétique conservatrice, rapide et réversible [3, 4] face à l’implantologie qui implique une chirurgie invasive, un temps de cicatrisation incompressible ainsi que des contraintes biologiques spécifiques comme le volume osseux disponible. En outre, la croissance faciale continue constitue un facteur de risque reconnu de dysharmonies esthétiques et fonctionnelles secondaires [5, 6].

Les données actuelles de la littérature indiquent que le bridge collé cantilever céramique et l’implant unitaire présentent tous deux une longévité clinique élevée, avec des taux de survie dépassant 90 % à 10–15 ans, dans des indications bien sélectionnées [7]. Toutefois, au-delà de cette apparente équivalence en termes de durabilité, ces solutions se distinguent par des profils de complications spécifiques – qu’elles soient biomécaniques, esthétiques ou biologiques — qui imposent une analyse décisionnelle individualisée, fondée sur le contexte clinique, les facteurs patients, ainsi que les objectifs à long terme en matière de maintenance et de prévisibilité.

Dans cette perspective, le présent…

Cet article est réservé aux abonnés.
Pour lire la suite :

Vous êtes abonné.e ? Connectez-vous
Mot de passe
oublié ?

Vous pouvez également :

Acheter l'article En version numérique
Acheter le numéro À l'unité