Observation
Il n’a pas de plainte olfactive (absence de cacosmie) ni de signes d’hyperactivité nasale. Il n’y a aucun antécédent ORL. On note l’absence d’allergie et de consommation tabagique. L’endoscopie de la fosse nasale droite est normale. À gauche, on objective un œdème (muqueuse bombée légèrement polypoïde lisse) au niveau de la bulle ethmoïdale obturant le méat moyen sans pus visible, même après rétraction de la muqueuse à la xylocaïne naphazoline. On note l’absence de polype ou de tumeur visible, en particulier au niveau de la fente olfactive.
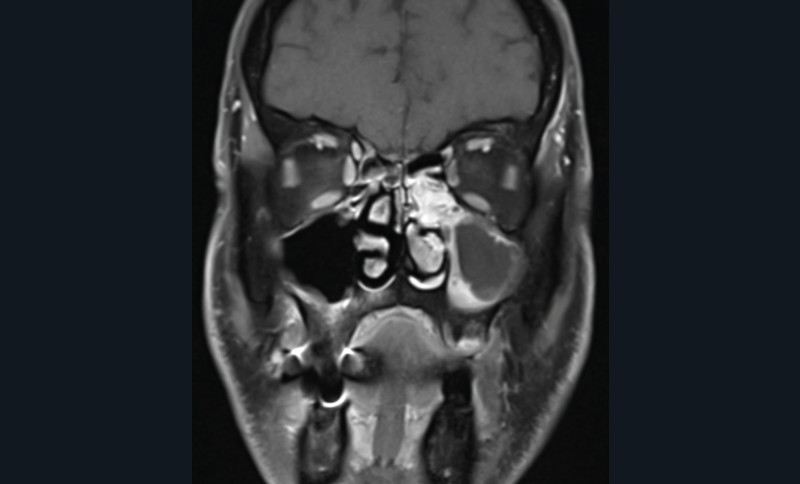
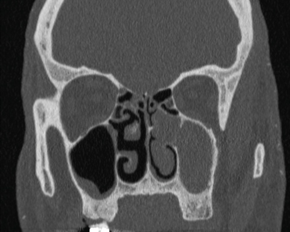
La tomodensitométrie des sinus retrouve un comblement complet unilatéral du sinus maxillaire gauche et des cellules ethmoïdales antérieures homolatérales, sans image de densité calcique intrasinusienne et sans lyse osseuse des parois (fig. 1). L’IRM montre un épaississement tissulaire de 23 mm de grand axe en regard du méat moyen gauche, avec un aspect de signal T2 hétérogène (fig. 2) et prenant le contraste en masse (fig. 3). Le comblement maxillaire gauche associé à un épaississement muqueux en cadre rehaussé correspond à une rétention en hypersignal en diffusion (fig. 4), avec diminution du coefficient apparent de diffusion (moyenne à 433 mm2/s) en faveur d’une pyocèle (fig. 5).
Une méatotomie gauche associée à une ethmoïdectomie antérieure est réalisée. Au cours de l’opération, une muqueuse polypoïde est visualisée au niveau de la bulle, un bombement de l’unciforme. L’unciformectomie permet une évacuation de pus franc ainsi que l’ouverture de la bulle ethmoïdale, où on réalise des biopsies à visée diagnostique. Le prélèvement bactériologique per-opératoire est négatif. Les biopsies montrent d’intenses remaniements inflammatoires (infiltration lymphoplasmocytaire et de polynucléaires) sans granulome tuberculoïde ou cellule suspecte. Les suites opératoires sont simples.
L’évolution…




