Les 28es assises de Chirurgie orale seront organisées à Cannes du 22 au 24 janvier, sur le thème « Nouvelles technologies en chirurgie orale : rupture ou continuité ? ». Le programme élaboré par le comité scientifique composé de Franck Afota, Renaud Petitbois et Charles Savoldelli, abordera l’implantologie, la chirurgie pré-implantaire, la chirurgie guidée, les greffes osseuses et l’intégration du numérique, avec une forte dimension pluridisciplinaire pour optimiser la réhabilitation fonctionnelle et esthétique des patients. Quatre séances sont présentées dans les pages qui suivent, petit aperçu de ce programme extrêmement riche et varié.
Cas clinique
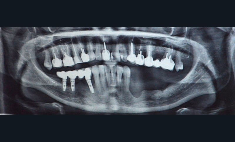
Il s’agit d’une jeune patiente 38 ans ayant présenté une perte osseuse à la suite de péri-implantite. Les implants ont été déposés. La patiente présente une atrophie mandibulaire postérieure classée Cawood V (fig. 1).
L’intervention se déroule sous anesthésie locale.
L’edentement est important de 33 à 38 et implique un prélèvement de grande étendue (fig. 2).
Après injection du produit anesthésique, l’incision est étendue de la 33 au trigone rétromolaire. Une incision de décharge est réalisée en distal de 33 et dans le trigone en direction de la ligne oblique externe.
Le décollement muco-périosté est amorcé au syndesmotome faucille puis à la rugine d’Obwegeser.
Le nerf mentonnier est exposé (fig. 3).
On réalise une incision de relaxation du lambeau et un « soft brushing » en lingual. Une incision est également réalisée en vestibulaire, puis la dissection du lambeau vestibulaire est faite au ciseau de Metzenbaum.
Le corpus mandibulaire, la branche horizontale et la région ramique sont exposés. Le foramen mentonnier est repéré et on veille à ses branches neuro-sensorielles.
On prélève au « safe scraper » des chips d’os.
Le…


