Cette activité propose cinq situations cliniques illustrant des problématiques courantes rencontrées lors du collage orthodontique et du suivi des traitements par multi-attaches et par aligneurs. À travers ces cas cliniques, l’objectif est d’amener l’orthodontiste à analyser les facteurs biologiques, mécaniques et comportementaux pouvant influencer la qualité du collage, la stabilité des dispositifs orthodontiques et la santé des tissus dentaires.
Cette activité vise ainsi à renforcer les compétences décisionnelles et la maîtrise des protocoles cliniques indispensables à une pratique orthodontique sécurisée et raisonnée.
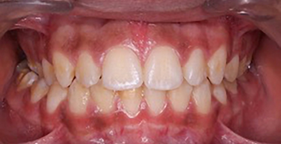
Situation clinique 1
Vous prévoyez la pose d’un appareil multi-attaches vestibulaire chez un patient âgé de 13 ans. Il présente un MIH modéré (fig. 1).
1. Quelles adaptations spécifiques du protocole de collage sont nécessaires chez un patient présentant un MIH modéré, et pourquoi ?
Chez un patient de 13 ans présentant un MIH modéré, le protocole de collage orthodontique doit être adapté en raison des particularités structurelles de l’émail. L’émail atteint de MIH est hypominéralisé et présente une teneur accrue en protéines résiduelles. Ces protéines sont principalement des protéines de la matrice amélaire (amélogénines en majorité, améloblastines et énamélines plus rarement) et des protéines sériques qui, dans l’émail sain, sont normalement éliminées au cours de l’amélogenèse. Cette richesse protéique réduit l’énergie de surface de l’émail, diminue sa mouillabilité de surface après mordançage et limite la pénétration des monomères résineux après mordançage, compromettant ainsi la qualité de l’adhésion. Cliniquement, cela se traduit par une augmentation du risque de décollement des brackets et une moindre durabilité du collage [1].
Un contrôle strict de l’humidité est indispensable afin d’éviter toute contamination…
