Comment mieux prendre en charge nos patients souffrant d’addiction ?

  • Par
  • Publié le . Paru dans L'Information Dentaire n°40 - 19 novembre 2025 (page 18-22)
Information dentaire

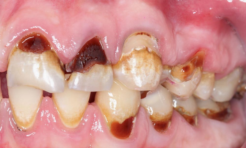
La France est l’un des pays européens les plus touchés par les addictions et la prise en charge des patients souffrant d’addiction représente une part non négligeable de l’exercice de la médecine bucco-dentaire. En cabinet dentaire, ces patients sont fréquemment source de difficultés de prise en charge et présentent souvent de nombreuses pathologies orales intrinsèques à leur dépendance. Quelle est la place du chirurgien-dentiste dans leur prise en charge ?

Cet article rappelle la définition de l’addiction et souligne son intrication avec l’odontologie, puis il détaille comment dépister, informer et orienter les sujets dépendants.

Qu’est-ce que l’addiction ?

L’addiction peut être définie comme une perte de contrôle de l’usage d’une activité, d’un bien ou d’une substance. La recherche compulsive et la consommation malgré les conséquences néfastes peuvent en être une autre signification [1]. Le terme « dépendance » comprend deux composantes, physique et comportementale. L’addiction, elle, est souvent associée au volet uniquement comportemental. La cinquième édition du Diagnostic and Statistical Manual of Mental Disorders (DSM-V) décrit le diagnostic d’une addiction à une substance par un modèle de signes cliniques reliés à la dépendance, mais également par quatre critères principaux : A, le développement d’un syndrome spécifique à la consommation de la substance ou de l’activité ; B, des changements attribuables aux effets de la substance/activité sur le système nerveux central (SNC) ; C, le syndrome entraîne une déficience dans des situations sociales, professionnelles ou autres ; D, les symptômes ne sont pas attribuables à une autre pathologie.

La dépendance comprend plusieurs notions intrinsèques :

  • la tolérance, qui représente la nécessité d’augmenter l’usage de l’activité pour retrouver une réponse similaire à la première utilisation [2] ;
  • le besoin intense de consommation d’une substance ou d’un comportement non vital (craving) [3] ;
  • le sevrage, qui illustre la tentative d’arrêt d’une conduite addictive, et qui peut entraîner des symptômes [4].

Toutes ces notions s’expliquent par des mécanismes neurologiques liés au circuit cérébral de la récompense qui est formé de trois connexions synaptiques avec comme neurotransmetteurs le GABA, le glutamate et la dopamine [5]. Une grande partie des neurones produisant cette dernière ont le corps situé au niveau de l’aire tegmentale ventrale. La dopamine agit, entre autres, au niveau du noyau accumbens, ce qui provoque une sensation de bien-être…

Cet article est réservé aux abonnés.
Pour lire la suite :

Vous êtes abonné.e ? Connectez-vous
Mot de passe
oublié ?

Vous pouvez également :

Acheter l'article En version numérique
Acheter le numéro À l'unité

Thèmes abordés

Sur le même sujet

Médecine

Article réservé à nos abonnés La salive et le microbiote oral : de nouveaux outils diagnostiques pour les maladies locales et systémiques

La salive comme miroir biologique La salive agit comme un miroir biologique, contenant une grande diversité de molécules mesurables –...
Médecine

Article réservé à nos abonnés Protéomique salivaire : une révolution dans la détection précoce et le diagnostic du cancer de la bouche

Ma présentation lors du Symposium de l’Institut Français pour la Recherche en Odontologie (IFRO), qui s’est tenu le 5 février...
Médecine

Article réservé à nos abonnés Ostéoporose et santé bucco-dentaire

L’incidence des ONM en pratique clinique varie de 1,2 à 6,7 cas pour 10000 patients-années [1, 2]. D’après une étude de l’association américaine des chirurgiens oraux et maxillo­faciaux (AAOMS),...
Médecine

Article réservé à nos abonnés L’intersection de la santé cardiaque et dentaire : stratégies pour gérer le risque d’endocardite chez les enfants

En comprenant les mécanismes sous-jacents et en suivant les lignes directrices établies, les professionnels dentaires peuvent réduire de manière significative...
Médecine

Article réservé à nos abonnés Revue de littérature pour la construction d’un arbre décisionnel
Conserver un implant ou l’explanter

Parmi les complications rencontrées en implantologie, le taux de mucosite atteindrait 43 % des patients, et le taux de péri-implantites s’établirait...
Médecine

Article réservé à nos abonnés Dépistage microbiologique des inflammations de la cavité orale : de la recherche à la clinique

Microbiologie de la cavité orale, données récentes La cavité orale héberge un ensemble de microbes appelé communément le microbiote oral. Ce...