Comprendre la dysesthésie occlusale : apports cliniques et neurophysiologiques

  • Par
  • Publié le . Paru dans Stratégie Prothétique n°1 - 15 février 2026 (page 11-20)
Information dentaire

– Qu’est-ce qu’une dysesthésie occlusale ?

– Qu’est-ce qui distingue une dysesthésie occlusale d’un simple déséquilibre occlusal ?

– Pourquoi certains patients n’arrivent-ils pas à s’adapter à une modification de leur occlusion dentaire ?

– Comment expliquer que des patients ressentent un inconfort majeur malgré une occlusion objectivement normale ?

La dysesthésie occlusale (DO) se définit comme une perception anormale et persistante de l’occlusion, générant un inconfort important malgré l’absence de signes cliniques objectivables. Rare et souvent déroutante, cette affection met en lumière la complexité des mécanismes sensoriels orofaciaux et soulève de multiples interrogations sur les plans physiopathologique, diagnostique et thérapeutique.

Afin d’offrir une compréhension globale de ce trouble, cet article présente d’abord deux observations cliniques emblématiques. Il décrit ensuite les bases neurophysiologiques de la proprioception occlusale, avant d’aborder les manifestations cliniques, l’épidémiologie, les principales hypothèses physiopathologiques, les critères diagnostiques et les différentes options de prise en charge.

Présentation des deux rapports de cas

Cas clinique n° 1

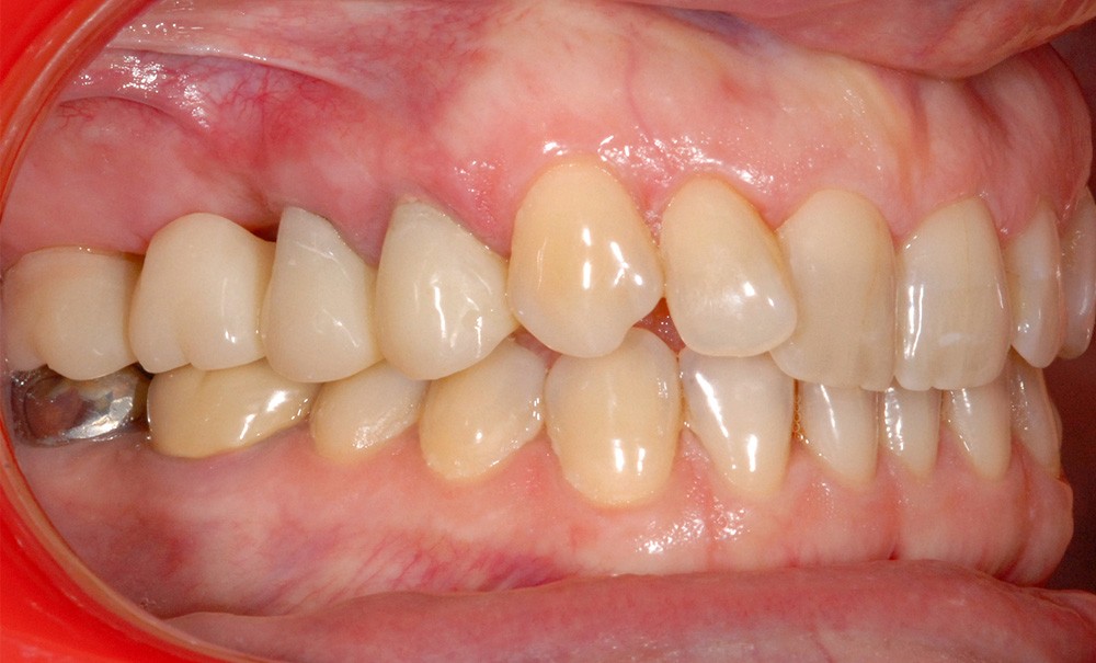
Un patient de 36 ans consulte 15 jours après le scellement d’une couronne sur la dent 47, se plaignant que l’élément prothétique est trop « volumineux » et qu’il perçoit « quelque chose d’anormal » au niveau de ses dents.

Malgré une légère retouche occlusale sur la cuspide mésio-vestibulaire effectuée le jour de l’assemblage, cette sensation l’a amené à rechercher de manière persistante des contacts occlusaux légèrement plus antérieurs, accompagnée d’une inquiétude croissante.

La gêne est ressentie comme importante, rendant difficile toute position mandibulaire confortable. À l’examen clinique, la fermeture spontanée révèle une légère propulsion mandibulaire, probablement adoptée pour éviter les contacts sur la couronne de 47. En revanche, lors de la fermeture en occlusion d’intercuspidie maximale (OIM), avec interposition de rubans marqueurs, aucune surocclusion n’est détectée sur cette dent, alors que des contacts plus marqués apparaissent sur les dents adjacentes (45 et 46) (fig. 1). Cette OIM est perçue par le patient comme très…

Cet article est réservé aux abonnés.
Pour lire la suite :

Vous êtes abonné.e ? Connectez-vous
Mot de passe
oublié ?

Vous pouvez également :

Acheter l'article En version numérique
Acheter le numéro À l'unité

Thèmes abordés