Concept d’approche centrée sur le patient 

  • Par
  • Publié le . Paru dans L'Orthodontiste n°5 - 15 décembre 2018 (page 22-32)
Information dentaire

Examen clinique

Anamnèse

Alliah, en bonne santé générale, est adressée à un orthodontiste en 2010 par son dentiste généraliste en raison de la persistance des canines temporaires maxillaires alors qu’elle a 14 ans et que le reste de la denture permanente est évolué. Sa maman et elle sont toutes les deux convaincues qu’elle nécessite un traitement orthodontique pour corriger ce problème, ainsi que pour améliorer la position des incisives maxillaires qu’elles trouvent trop avancées.

Il n’existe pas d’habitude de succion non nutritive ni de trouble de la respiration.
Examen exo-buccal (fig. 1)

L’examen exo-buccal de face ne révèle pas d’asymétrie significative. Dans le sens vertical, les différents étages sont équilibrés.
De profil, la forme générale du visage montre une grande convexité. La distance cervico-mentonnière est courte. La mandibule présente une forme caractéristique en forme de « rocking-chair » avec un angle goniaque très ouvert. Les rapports entre le nez, la lèvre et le menton sont perturbés : la lèvre supérieure est très courte avec un angle naso-labial fermé, l’étage inférieur est déséquilibré avec une distance entre le stomion et le point sous nasal trop faible par rapport à la distance entre le stomion et le point menton cutané.

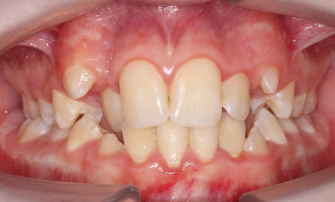
L’harmonie du sourire n’est pas parfaite, avec une trop grande inclinaison vestibulaire des incisives maxillaires et un sourire gingival latéral disgracieux.
Examen fonctionnel
Les fonctions oro-faciales apparaissent normales, tant d’un point de vue statique que dynamique.
Examen endo-buccal

Le biotype parodontal est fin mais sans pathologie cliniquement décelable. Néanmoins, on note une hygiène bucco-dentaire qui nécessiterait d’être améliorée.
On peut considérer que le stade de denture est celui de la denture adulte jeune, malgré la persistance des canines temporaires.
Les dents permanentes ne présentent pas de carie ou d’obturation. Pourtant, des lésions…

Cet article est réservé aux abonnés.
Pour lire la suite :

Vous êtes abonné.e ? Connectez-vous
Mot de passe
oublié ?

Vous pouvez également :

Acheter l'article En version numérique
Acheter le numéro À l'unité

Thèmes abordés

Sur le même sujet

ODF

Article réservé à nos abonnés Ronflements pathologiques, apnées et hypopnées obstructives : qu’entend-on par les troubles respiratoires obstructifs du sommeil de l’enfant (TROS) ?

Un sommeil de qualité est essentiel au développement harmonieux de l’enfant. Les troubles respiratoires obstructifs du sommeil (TROS) perturbent ce...
ODF

Article réservé à nos abonnés Syndrome d’apnées obstructif du sommeil et chirurgie

Collapsus pharyngé et décision chirurgicale Le collapsus pharyngé à l’origine du SAOS peut résulter de mécanismes variés, souvent associés. L’hypertrophie...
ODF

Article réservé à nos abonnés Rééducation et apnées du sommeil : du dépistage précoce à la personnalisation thérapeutique

Vers une médecine des 4P Le syndrome d’apnées-hypopnées obstructives du sommeil (SAHOS) touche aujourd’hui plusieurs millions de Français, et sa...
ODF

Article réservé à nos abonnés SAHOS et santé mentale de l’enfant et de l’adolescent

Le sommeil est essentiel pour la santé et le bien-être des enfants. Il est composé de patterns multidimensionnels d’alternances veille-sommeil,...
ODF

Article réservé à nos abonnés Des années de symptômes… au diagnostic : un cas révélateur de SAHOS chez l’enfant

Les enfants présentant un trouble respiratoire obstructif du sommeil (TROS) nécessitent une prise en charge pluridisciplinaire dans laquelle l’orthodontiste peut...
ODF

Article réservé à nos abonnés Le débaguage orthodontique, l’Art de conclure sans abîmer ! La fin du traitement ou le début d’une nouvelle responsabilité ?

Le débaguage orthodontique : la grande omerta d’une étape pourtant décisive Le débaguage orthodontique consiste dans le retrait des attaches orthodontiques collées sur...