Critères décisionnels étendus de conservation ou d’extraction des dents

  • Par
  • Publié le . Paru dans L'Information Dentaire n°41 - 26 novembre 2025 (page 20-29)
Information dentaire
De tous les choix qu’un chirurgien-dentiste est amené à faire, la question de savoir si une dent doit être conservée ou extraite est sans doute la plus fréquente. Il y a probablement autant de manières de répondre à cette question qu’il y a des situations cliniques, qu’il y a de patients et de praticiens. Chacun de nous a sa propre logique, sa propre expérience, ses propres compétences, ses propres connaissances, son propre fonctionnement cognitif et émotionnel.

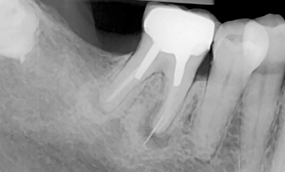
Les techniques opératoires de conservation et d’extraction des dents font partie de l’arsenal thérapeutique de tous les chirurgiens-dentistes. En revanche, la méthodologie pour répondre à la question « conserver ou extraire » n’est pas la même pour tous. Dès lors la capacité d’un praticien à répondre à cette question semble se faire sur la base de ce que l’on nomme, de manière assez vague, le sens clinique. Le but de cet article est, au travers d’éléments choisis de bibliographie et de situations cliniques, d’élargir les critères décisionnels classiques de conservation ou d’extraction d’un organe dentaire au-delà des seuls aspects biologiques habituellement décrits (parodontaux, structurels et endodontiques), en déterminant des éléments loco-régionaux puis globaux pouvant permettre de consolider la rationalité de la décision et de l’inscrire dans la relation de confiance entre le praticien et le patient.

N.B : cet article ne traitera pas des critères d’extraction des dents de sagesse, des dents lactéales ou des prémolaires dans le cadre des traitements orthodontiques.

Prise de décision et plan de traitement

Comme dans d’autres professions impliquant des paramètres complexes et fluctuants, les professionnels de santé doivent prendre quotidiennement des décisions pouvant avoir des conséquences importantes et parfois irréversibles pour les patients, tant au niveau individuel qu’en termes de santé publique. Que ce soit dans le cadre de l’urgence ou bien dans le cadre d’un plan de traitement, il a été montré que la qualité de la prise de décision est plus importante que la réalisation de l’acte qu’elle sous-tend [1]. En d’autres termes, un acte parfaitement réalisé mais mal indiqué a souvent des conséquences plus délétères qu’un acte moins bien réalisé techniquement mais parfaitement indiqué à la situation donnée. Il a également été montré que la qualité de la prise de…

Cet article est réservé aux abonnés.
Pour lire la suite :

Vous êtes abonné.e ? Connectez-vous
Mot de passe
oublié ?

Vous pouvez également :

Acheter le numéro À l'unité