Les érosions dentaires se développent sous l’influence d’une attaque acide non bactérienne et se caractérisent par une déminéralisation puis une dissolution de la trame amélaire [1]. Malgré une forme clinique générale assez spécifique (fig. 1), leur diagnostic reste cependant difficile compte tenu d’une origine le plus souvent multifactorielle [2].
À partir d’un cas clinique, nous allons développer la démarche diagnostique et thérapeutique des érosions d’origine extrinsèque.
Situation clinique initiale
Mme M est âgée de 37 ans lors de sa première consultation odontologique. Elle se plaint alors de sensibilités lors des repas et d’une altération esthétique.
La patiente est fumeuse et ne présente aucun antécédent médical connu.
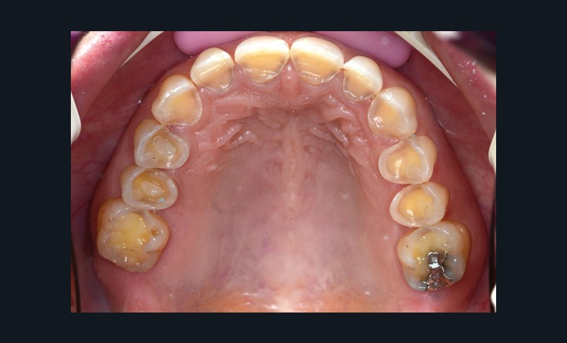
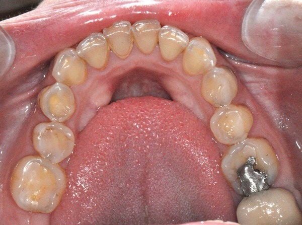
À l’examen clinique (fig. 2 à 4), on observe :
– l’absence de 17, 27 et 47 (suite de lésions carieuses volumineuses) ;
– un parodonte sain ;
– des érosions sévères généralisées, symétriques et bilatérales (occlusales, palatines et vestibulaires au maxillaire) ;
– des lésions carieuses débutantes de site 3 ;
– des obturations préexistantes infiltrées ;
– une vitalité pulpaire conservée sauf au niveau des prémolaires maxillaires ;
– une usure des bords libres des incisives mandibulaires
L’examen radiographique (bilan rétro-alvéolaire) objective des lésions carieuses secondaires sur 16 et 36 ainsi qu’une lésion inflammatoire périapicale d’origine endodontique sur 37 (cliniquement asymptomatique).
Diagnostic étiologique
En présence d’érosions, il est important d’identifier les facteurs de risque, car ils conditionnent le succès de la prise en charge thérapeutique.
À l’interrogatoire, Mme M indique ne consommer que des boissons gazeuses acides et sucrées, à raison de 4 à 5 litres quotidiennement, de jour comme de nuit, depuis plusieurs années. D’autre…



