Et si j’améliorais mes photographies ?

  • Par
  • Publié le . Paru dans L'Orthodontiste n°5 - 15 décembre 2018 (page 61-64)
Information dentaire
À chaque fois que vous allez à un congrès, vous vous dites qu’il faut absolument vous améliorer en photographies : normal, on a tous l’impression que les photographies des confrères sont plus belles que les nôtres… ce qui n’est pas toujours vrai, car nous sommes tous un peu sévères avec nous-mêmes. Rappelez-vous la phrase de Paul Morand : « Elle était belle comme la femme d’un autre » !

Essayer de progresser est toujours gage de qualité.

Les photographies sont des documents importants à réaliser ; à plusieurs temps du traitement (bilan initial, réévaluation, fin de traitement), la prise de photographies est nécessaire.
Les photographies exo-buccales comprennent la photographie de face, sourire et profil (droit au moins, les deux profils si le patient est dissymétrique).
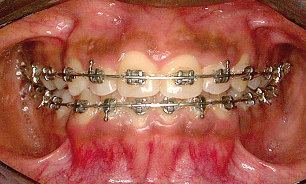
Les photographies endo-buccales sont celles de face, latérales droite et gauche, occlusales arcades maxillaire et mandibulaire.

Ces documents sont importants en cas de litige (on doit bien objectiver une tache sur une dent). On peut également décider de les donner au patient pour le féliciter d’avoir réussi son traitement (certains hésiteront, y voyant un risque pour l’avenir si le patient se retourne contre eux) ou en cas de transfert à un autre confrère. Ce sont aussi des documents que l’on peut envoyer au chirurgien-dentiste correspondant pour communiquer, avec l’accord du patient (vous pouvez joindre automatiquement les photographies à votre courrier électronique).

Le matériel

Il n’y a pas de secret : il faut du bon matériel. Généralement, un appareil reflex est requis (de petits appareils ont néanmoins été commercialisés, qui se sont avérés tout à fait corrects). Les ombres seront à éviter, et la profondeur de champ devra être suffisante.

Il faut également des miroirs occlusaux et latéraux (certains avec manche), des écarte-lèvres transparents et occlusaux (exit les écarte-lèvres de couleur !), dont des petits pour les très jeunes patients. Pensez que votre matériel doit être stérilisable (sauf l’appareil photo !). Certaines sociétés proposent des caissettes en métal pour ranger les miroirs et éviter ainsi de les rayer lors des cycles de stérilisation.
À noter que certains logiciels peuvent éditer des plaques « début de traitement », intermédiaire et fin, grâce à leur programme. Vous pouvez créer des scénarios…

Cet article est réservé aux abonnés.
Pour lire la suite :

Vous êtes abonné.e ? Connectez-vous
Mot de passe
oublié ?

Vous pouvez également :

Acheter le numéro À l'unité