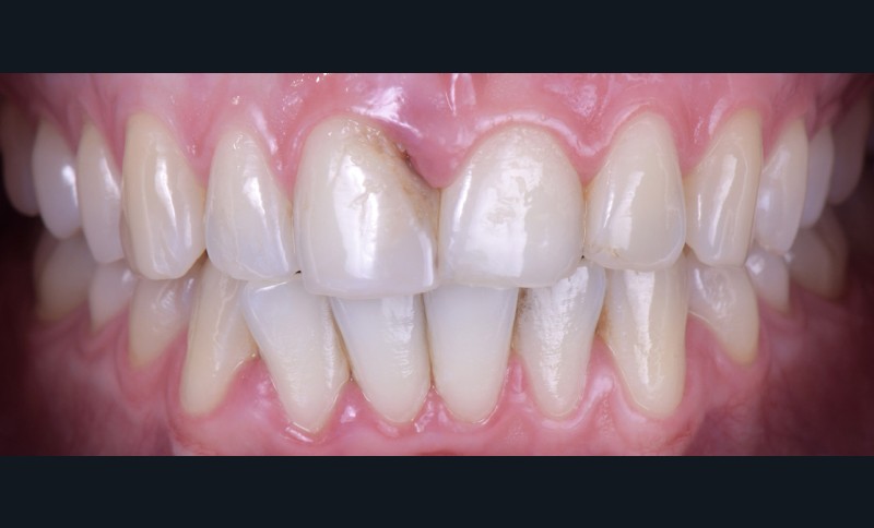
1/ Il faudrait donner de la dominance aux incisives centrales de cette patiente en rallongeant leur bord incisif. Les conditions occlusales vous semblent-elles bonnes pour réaliser les facettes ?
Non, les conditions occlusales ne sont pas bonnes puisqu’il existe un bout à bout incisif entre 31 et 21 empêchant de rallonger le bord incisif de cette dernière. Un traitement orthodontique est donc nécessaire pour augmenter le surplomb.
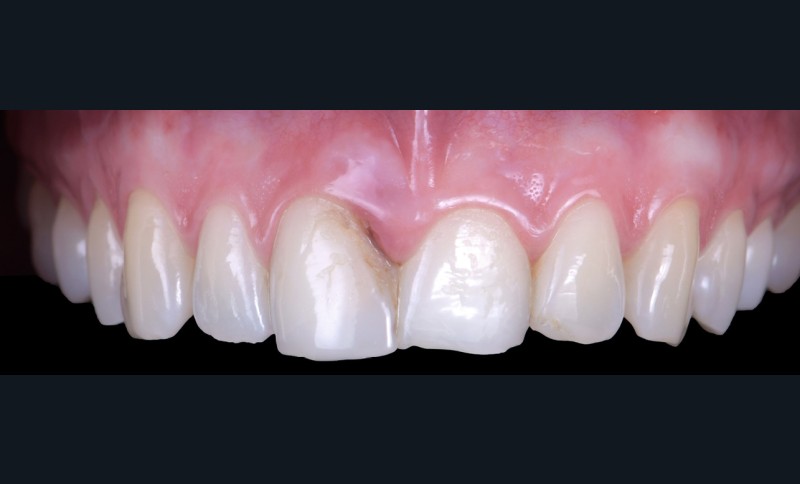
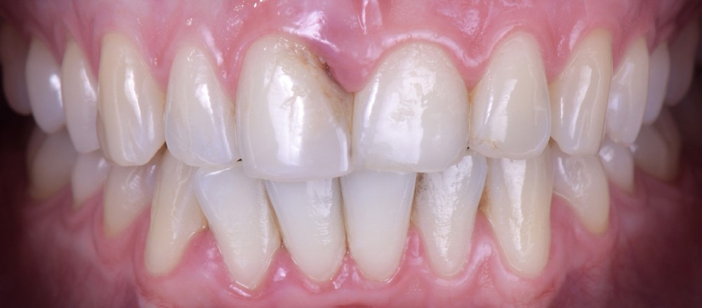
2/ Un traitement orthodontique est réalisé à l’aide d’un système de gouttières (Dr Darqué) (fig. 6 à 8). À l’issue de ce dernier, les collets vous semblent-ils alignés entre 11 et 21 ?
Non, le collet de 21 est plus coronaire et doit être apicalisé pour s’aligner sur la position du collet de 11.
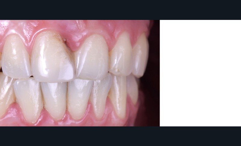
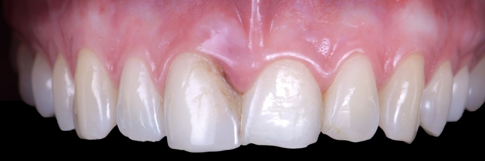
3/ Au niveau de 21, un sondage jusqu’à la crête osseuse est effectué sous anesthésie. Il indique qu’il existe une distance de 3 mm entre cette dernière et la gencive marginale. À votre avis, une gingivectomie sera-t-elle suffisante ?
Non, car les 3 mm de sondage indiquent ici qu’il ne s’agit pas d’une éruption passive altérée et qu’éliminer uniquement de la gencive ne serait pas efficient. Il faut y associer une ostéoplastie d’environ 1 mm.
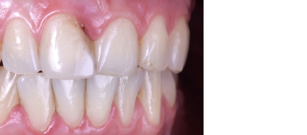
4/ Pour vous, est-il nécessaire de soulever un lambeau pour faire une élongation coronaire au niveau de 21 ?
Non, après la réalisation d’une gingivectomie, l’ostéoplastie peut être « flapless » à l’aide d’un insert ultrasonore. Cette intervention sera donc moins invasive et le temps de cicatrisation sera ainsi réduit.







