8e Grand Prix en orthodontie avec Orthoplus
Grand prix Catégorie Enfants/adolescents de moins de 16 ans
Troisième lauréat
Objectifs et phases thérapeutiques
Les traitements des fentes faciales constituent un défi chirurgical, orthodontique et esthétique majeur. Si l’orthodontiste joue un rôle crucial en établissant un schéma dentaire fonctionnel, compatible avec d’éventuelles restaurations prothétiques ultérieures, le chirurgien-dentiste assure la restauration de l’esthétique du sourire.
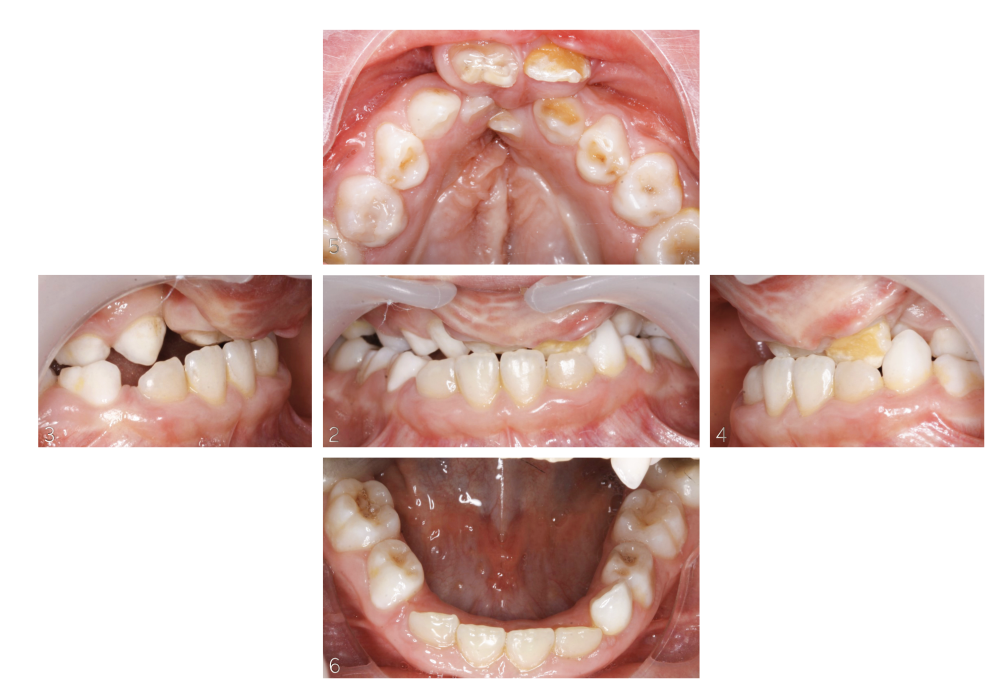
Ce patient atteint d’une fente labio-alvéolo palatine bilatérale a été reçu en consultation d’orthodontie à 5 ans (fig. 1-6). La première phase, d’expansion maxillaire, a été menée par disjoncteur en V. À l’issue, des greffes osseuses alvéolaires secondaires par apport de verre bioactif 45S5 (GlassBone®) ont été réalisées. Un quad-hélix maxillaire maintenait la dimension transversale en attendant l’évolution des dents permanentes (fig. 7-8). L’examen clinique a révélé une agénésie de la dent 22, une dent 12 riziforme et un odontome 22bis palatin.
Après l’acquisition de la denture adulte, un multi-attache a été mis en place et la gestion des espaces a été discutée de manière collégiale. Une ouverture d’espace a été décidée afin de prévoir la mise en place d’éléments prothétiques en cantilever pour remplacer la dent 22 et une couronne collée sur la dent 12. Il a été décidé que la gestion des incisives centrales serait assurée par deux facettes vestibulaires. Le port d’élastiques de classe II (4 ½ oz, 3/16“) associés à des ressorts positionnés au niveau des zones d’édentement a permis une mécanique par glissement sur un arc .019 x .025 acier. L’occlusion était en classe III thérapeutique due aux choix d’extraction de prémolaires mandibulaires pour solder la DDA (fig. 9-11).
Les incisives centrales…






