Focus sur le kyste de la furcation mandibulaire vestibulaire
- Par
- Publié le . Paru dans L'Information Dentaire n°6 - 18 février 2026 (page 27-29)
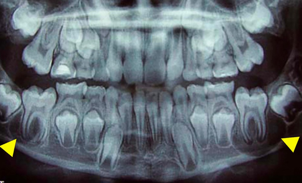
Le kyste de la furcation vestibulaire, également retrouvé sous le terme de kyste mandibulaire vestibulaire surinfecté, est une lésion kystique rare et encore largement méconnue, pouvant être une source d’erreurs diagnostiques et thérapeutiques. Classés par l’Organisation Mondiale de la Santé (OMS) dans les kystes inflammatoires paradentaires (i.e collatéral), cette lésion kystique est souvent retrouvée chez les patients jeunes car elle touche préférentiellement les molaires mandibulaires au moment de leur éruption (fig. 1). Son étiologie est incertaine. Lors de l’éruption d’une molaire mandibulaire, une inflammation surviendrait et déclencherait une prolifération épithéliale dans l’espace desmodontal. Ce kyste peut mimer une pathologie parodontale ou endodontique classique alors même que la dent concernée est vivante.
Cet article est réservé aux abonnés.
Pour lire la suite :
Vous êtes abonné.e ?
Connectez-vous
Pas encore abonné.e ?
Abonnez-vous
Abonnez-vous pour recevoir la revue et bénéficier des services en ligne et des avantages abonnés.
Vous pouvez également :
Acheter l'article
En version numérique
Acheter le numéro
À l'unité