Focus sur le kyste osseux solitaire
- Par
- Publié le . Paru dans L'Information Dentaire n°38 - 5 novembre 2025 (page 31-34)
 
	
	
						 
							
							
							
						
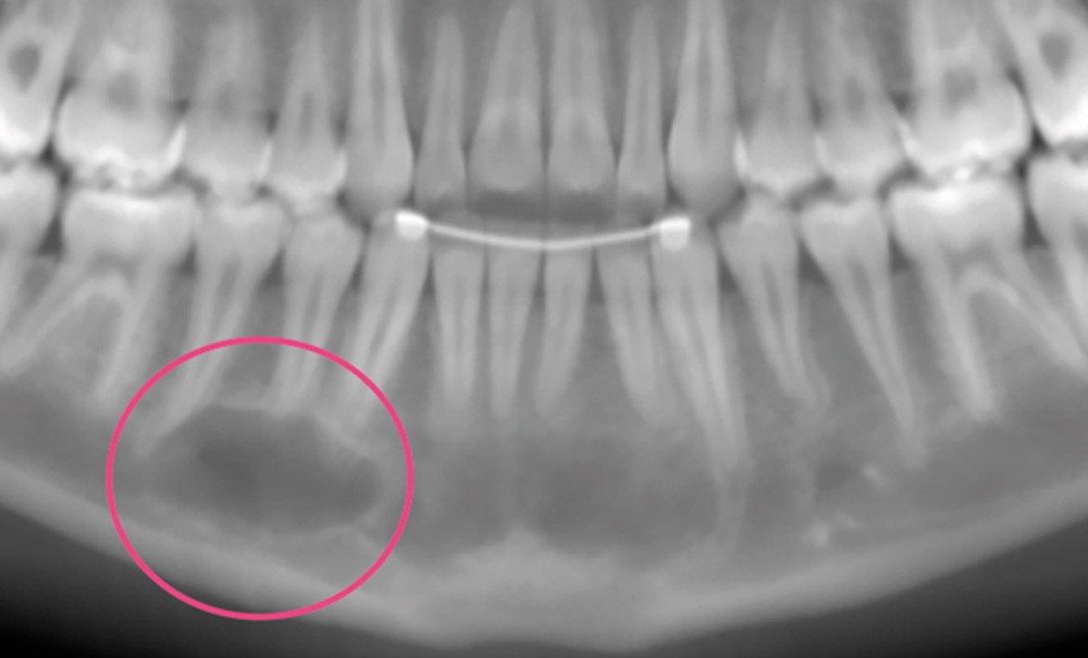
							Le kyste osseux solitaire, aussi appelé kyste osseux essentiel (KOE) ou kyste osseux simple, est un pseudo-kyste dépourvu de paroi épithéliale. Il s’agit d’une lésion intra-osseuse vide de contenu ou remplie d’un liquide séreux ou séro-hématique. Au niveau de la sphère faciale, sa localisation privilégiée est la symphyse et le corps de la mandibule (fig. 1). Il touche plus exceptionnellement le maxillaire. Son pic d’incidence se situe à la 2e décennie avec un sexe ratio de 1 lorsqu’il est isolé. Lorsqu’il est associé à une dysplasie cémento-osseuse floride, le KOE touche préférentiellement les femmes d’âge adulte mélanodermes.  Bien que plusieurs hypothèses étiopathogéniques aient été proposées – incluant le traumatisme, la dégénérescence tumorale, l’ischémie osseuse, et les anomalies du remodelage osseux –, l’étiologie exacte de cette lésion reste indéterminée.						
										
		Cet article est réservé aux abonnés. 
Pour lire la suite :
	
					Vous êtes abonné.e ?
					Connectez-vous
					 
				
									 
				
				Pas encore abonné.e ?
				Abonnez-vous
				 
			
			 
			Abonnez-vous pour recevoir la revue et bénéficier des services en ligne et des avantages abonnés.
Vous pouvez également :
						Acheter l'article
						En version numérique
					
					
							
						Acheter le numéro
						À l'unité
					
					
							 
					 
					 
						 
	 
									 
													 
									