Responsable de séance : Yassine Corbin
Conférenciers : Franck Decup, Brice Riera
Curetage total
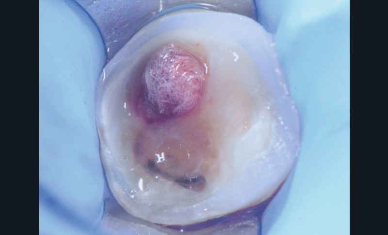
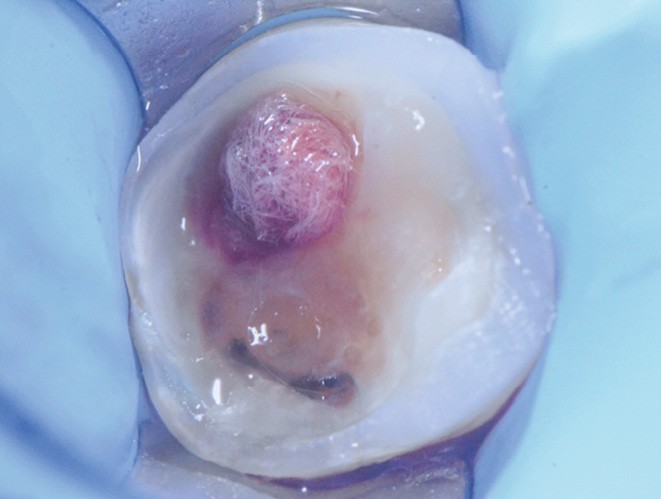
Le curetage total consiste à éliminer l’ensemble de la dentine cliniquement altérée (dentine nécrosée, infectée et affectée (fig. 1)) jusqu’à l’obtention d’un fond de cavité dur et visuellement sain (fig. 2). Cette approche repose sur un objectif clair : réduire au maximum la charge bactérienne et offrir un fond de cavité permettant un collage idéal. Dans les lésions profondes, elle expose toutefois à un risque d’effraction pulpaire [2] (fig. 3). Ce risque est aujourd’hui mieux accepté grâce aux progrès des biomatériaux de coiffage pulpaire, notamment les silicates de calcium (fig. 4), qui permettent une cicatrisation pulpaire prédictible lorsque le diagnostic est favorable, le protocole rigoureux et l’hémostase contrôlée. En cas d’effraction pulpaire, cette technique permet en outre l’évaluation visuelle directe de la pulpe (aspect, couleur, saignement). Le protocole clinique impose d’être sous champ opératoire et nécessite un plateau technique adapté.
Curetage sélectif
Le curetage sélectif s’inscrit dans une logique de préservation biologique maximale. Son principe s’appuie sur une cicatrisation naturelle plus que sur l’alternative produite par un biomatériau. La procédure consiste en l’élimination complète, en périphérie, de la dentine cliniquement altérée (dentine nécrosée, infectée et affectée) jusqu’à l’obtention d’un tissu dur et sain, mais en conservant volontairement une dentine affectée au niveau parapulpaire (fig. 5). L’objectif est de limiter l’agression mécanique directe de la pulpe et de favoriser ses mécanismes de défense, notamment la formation de dentine tertiaire, la dentine affectée jouant le rôle de matrice biologique de cicatrisation. Cette stratégie revient à contrôler la lésion dans un environnement…



