Grand Prix éditorial 2025 – Hypersensibilité dentinaire et qualité de vie
1er cas lauréat 2025
Objectif et phase thérapeutique
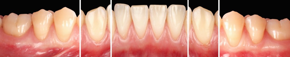
Une patiente de 32 ans, non fumeuse, a été adressée pour la prise en charge de récessions gingivales (RG) mandibulaires généralisées et évolutives (fig. 1).
Elle rapportait une hypersensibilité dentinaire (HD) au froid et des douleurs gingivales au brossage.
Ses antécédents médicaux ne contre-indiquaient pas la chirurgie. L’étude de ses habitudes de vie a révélé un brossage traumatique manuel, 5 à 6 fois par jour. Le score GOHAI [2] (56/60) indiquait une altération de sa qualité de vie liée à l’hypersensibilité dentinaire (HD).
Le diagnostic était celui de gencive saine sur parodonte réduit, sans antécédent de parodontite, associée à un phénotype fin et festonné, avec des RG mandibulaires RT1 (32- 42/34-35/44-45).
L’analyse de l’HD par le Schiff’s Cold Air Sensitivity Score (SCASS) [3] a montré une HD douloureuse (≥ 2) sur (34-33/31-41/44) (tableau 1).
Les objectifs thérapeutiques étaient :
- Supprimer l’HD douloureuse (≥ 2) et les douleurs gingivales par des modifications comportementales (passage à un brossage mécanisé adapté) et une désensibilisation chimique (dentifrice et bain de bouche à l’arginine) pendant un mois.
- Modifier le phénotype gingival et recouvrir les RG par chirurgie plastique parodontale.
Après un mois de désensibilisation chimique, une amélioration de l’HD fut observée, le SCASS passant sur 33 et 43 respectivement de 3 à 2 et 1 à 0 (tableau 1).
La stratégie chirurgicale, fondée sur les arbres décisionnels de M. Stefanini (2018) [4] et S. Aroca (2025) [5], a conduit au choix de la technique du tunnel modifié (MCAT) avec greffon de tissu conjonctif (CTG). Trois interventions successives furent réalisées (secteurs 33-43, 33-36, 43- 46), avec positionnement du CTG à la jonction…

