Contexte clinique et objectifs
Une patiente partiellement édentée mandibulaire se présente avec les dents 33, 35, 36 et 43 compromises (alvéolyse terminale, caries profondes, atteintes sous-furcation). Une réhabilitation implantaire complète avec mise en charge immédiate est indiquée. L’objectif de ce cas est d’illustrer la faisabilité d’un protocole totalement numérique, intégrant planification prothétique, chirurgie dynamique naviguée, photogrammétrie et impression 3D. Ce flux vise une efficacité clinique maximale tout en maintenant les exigences de sécurité, de confort et de qualité. Il permet également une communication fluide avec le laboratoire et une gestion efficace des imprévus per-opératoires.
La phase pré-opératoire consiste en l’acquisition des données et la constitution d’un dossier numérique.
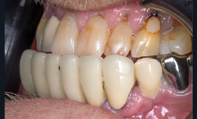
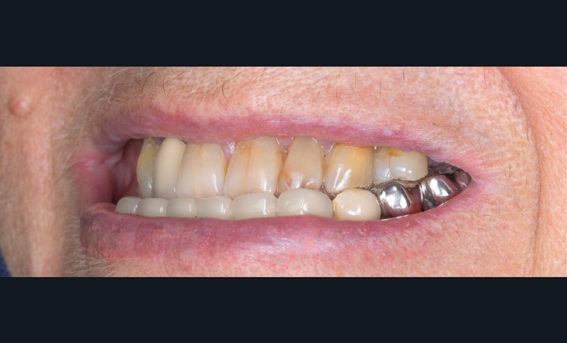
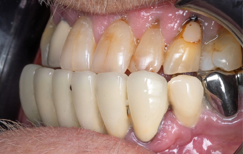
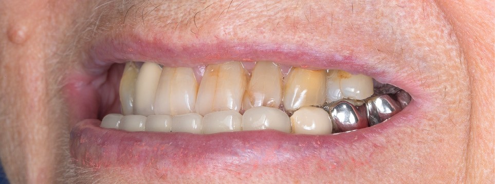
La première étape repose sur la récolte des données cliniques suivantes : – photographies exo- et endo-buccales (fig. 1), utilisées pour l’évaluation esthétique, le diagnostic initial et la communication avec le prothésiste ;
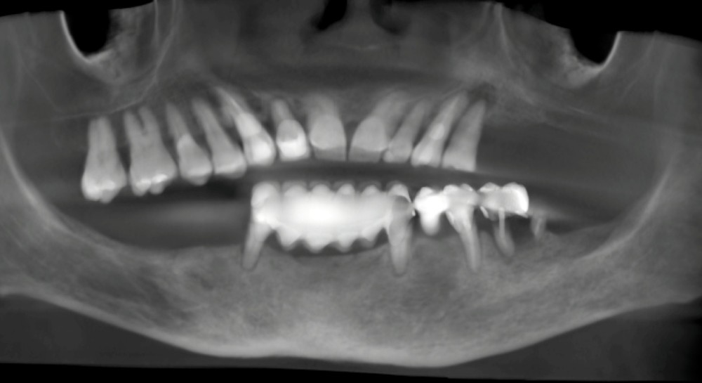
- cone beam pour l’analyse du volume osseux, l’étude des structures anatomiques et la planification implantaire tridimensionnelle (fig. 2) ;
- les empreintes (fig. 3) transmises au laboratoire pour la réalisation d’un wax-up digital (fig. 4) préfigurant la position idéale des dents prothétiques. Ce modèle prothétique virtuel permet de déterminer la position, l’axe et la profondeur idéale des implants en fonction du couloir osseux, des tissus mous et du positionnement souhaité des puits de vissage.
Adaptation du projet prothétique : importance de la précision
La patiente présente une classe III squelettique marquée. Le projet prothétique prévoit un repositionnement en bout à bout des dents et un décalage mésio-distal d’environ ½ dent pour garantir une esthétique satisfaisante…







