Selon Ashley et al. [1], l’inflammation gingivale est très fréquente chez les sportifs de haut niveau, notamment la gingivite (58 à 76 %) et la parodontite (15 %). De nombreux sportifs indiquent souffrir de douleurs dentaires avec un impact plutôt négatif sur leur état physique. Dans le cas de parodontite, les paramètres sanguins peuvent se trouver modifiés, cela ayant une implication sur l’état général.
Les différentes causes d’inflammation gingivale
L’une des principales causes d’inflammation gingivale chez le sportif est la maladie parodontale.
Cette dernière est définie comme gingivite ou parodontite en fonction des conditions pathologiques et de l’évolution. L’inflammation est liée à la présence de bactéries de la plaque dentaire non correctement éliminées lors du brossage. La maladie parodontale est donc définie comme une maladie inflammatoire chronique d’origine infectieuse.
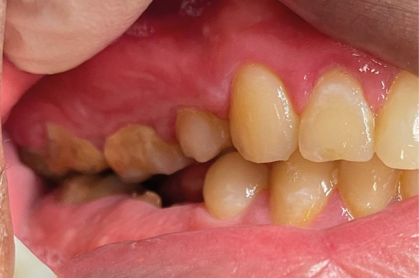
La gingivite consiste en une atteinte superficielle de la gencive. Elle est réversible si tout est mis en œuvre pour traiter. Sans traitement, la gingivite peut évoluer en parodontite. Cette dernière correspond à une atteinte des tissus profonds de soutien des dents pouvant causer leur mobilité ainsi que leur perte si aucune prise en charge n’est instaurée (fig. 1).
Selon différentes études [2, 3, 4], 30 à 60 % des sportifs de haut niveau présentent des saignements gingivaux.
D’après Needleman et al. [5], 30 à 60 % des athlètes présentent des signes de gingivite et 5 à 40 % de signes de parodontite (fig. 2 à 5).
Outre l’atteinte parodontale, la péricoronarite au niveau des dents de sagesse représente une cause importante d’inflammation gingivale chez le sportif de haut niveau. En effet, la tranche d’âge dans laquelle se situent les sportifs de haut niveau correspond à celle où surviennent des accidents d’éruption…






