Infections à HPV : bénignes ou malignes ?

  • Par
  • Publié le . Paru dans Réalités Cliniques n°3 - 15 septembre 2025 (page 18-23)
Information dentaire
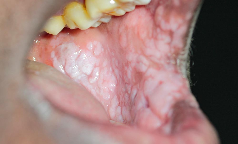
Le papillomavirus (HPV) est un virus à transmission interhumaine possédant de nombreux génotypes. Ses manifestations cliniques au niveau de la cavité orale peuvent se classer en deux catégories : les lésions bénignes (papillomes, condylomes et verrues) – dont le traitement relève majoritairement de la chirurgie – et les lésions malignes avec les carcinomes épidermoïdes HPV+ provoquées majoritairement par les génotypes 16, 18 et 31 – dont l’incidence est en hausse par rapport aux carcinomes épidermoïdes HPV. Depuis plusieurs années, une vaccination existe contre les génotypes les plus virulents, recommandée chez les adolescents à partir de 11 ans jusqu’à 19 ans. Cette vaccination permet une diminution du nombre de lésions HPV induites, mais reste minoritaire dans la population ciblée (en France au 31 décembre 2023, 44,7 % chez les jeunes filles et 15,8 % chez les garçons, âgés de 16 ans).

L’infection à papillomavirus est l’infection sexuellement transmissible (IST) la plus fréquente. À travers le monde, environ 5 à 10 % de la population est infecté par un Human Papilloma Virus (HPV) [1]. Le virus du papillome humain (HPV) est un virus à ADN double brin. Il en existe plus de 200 types, dont une douzaine peut provoquer des cancers du col de l’utérus, de la vulve ou de l’oropharynx [2]. En 2019, l’HPV a été responsable d’environ 620 000 cas de cancers chez les femmes et 70 000 cas de cancers chez les hommes.

Au niveau du col de l’utérus, environ 90 % des virus HPV disparaissent ou deviennent latents 1 à 2 ans après l’infection, éliminés par le système immunitaire. Au niveau de la cavité orale, cet état de latence reste une hypothèse pour de nombreux auteurs [3]. Selon l’OMS, le carcinome du col de l’utérus représente environ 80 % des cancers dus à l’HPV, dont 90 % surviennent chez les femmes (620 000 cas sur 690 000). On estime que les types d’HPV 16 et 18 représentent 72 % (500 000 cas) et les types d’HPV 31, 33, 45, 52 et 58 17 % (120 000 cas) de tous les cas de cancers attribuables aux HPV. Les HPV 16 et 18 sont, quant à eux, responsables de la quasi-totalité des cancers attribuables aux HPV chez l’homme [4].

Le virus HPV

Le virus du papillome humain (HPV) infecte les épithéliums malpighiens. Ils appartiennent à la famille des papillomaviridae. Il en existe plus de 200, dont environ 100 qui infectent les humains.

La majorité de ces virus peuvent être classés dans l’un des cinq genres. Les alpha-papillomavirus (a-HPV) prédominent dans les muqueuses, telles que les muqueuses génitales et buccales. Les bêta-papillomavirus (b-HPV) et les gamma-papillomavirus (g-HPV) prédominent dans les revêtements cutanés. Les Mu-papillomavirus (µ-HPV) sont responsables des verrues plantaires et les nu-papillomavirus (υ -papillomavirus) sont retrouvés dans les carcinomes…

Cet article est réservé aux abonnés.
Pour lire la suite :

Vous êtes abonné.e ? Connectez-vous
Mot de passe
oublié ?

Vous pouvez également :

Acheter l'article En version numérique
Acheter le numéro À l'unité

Thèmes abordés

Sur le même sujet

Dermatologie buccale

Article réservé à nos abonnés Évolution des pratiques sexuelles : quel impact sur l’épidémiologie des infections sexuellement transmissibles ?

Les infections sexuellement transmissibles (IST) représentent un problème majeur de santé publique en raison de leur transmissibilité (aux partenaires et...
Dermatologie buccale

Article réservé à nos abonnés Pathologies osseuses et muqueuses : focus sur les odontomes

Quelles manifestations cliniques doivent alerter le praticien ? Le plus souvent asymptomatique. Les odontomes sont fréquemment responsables d’inclusion dentaire : ils sont...
Dermatologie buccale

Article réservé à nos abonnés Lésions lichénoïdes orales induites. Ce que le chirurgien-dentiste doit savoir

Nosologie Les lésions lichénoïdes orales induites peuvent être secondaires à un phénomène de contact (LLOIC), à la prise de médicaments...
Dermatologie buccale

Article réservé à nos abonnés Le kyste dentigère : ce que le chirurgien-dentiste doit savoir

Quelles manifestations cliniques doivent alerter le praticien ? Le kyste folliculaire est le plus souvent asymptomatique. Il agit comme un...
Dermatologie buccale

Article réservé à nos abonnés Papillome chez l’homme : ouvrons l’œil !

Anamnèse Ce jeune patient de 26 ans se présente à la consultation au sein de l’UF de Parodontologie (Pôle PROMOD-ODONTO,...
Dermatologie buccale

Article réservé à nos abonnés Le lichen plan et les lésions lichénoïdes orales non induites : ce que le chirurgien-dentiste doit savoir

Nosologie Le lichen oral regroupe 3 entités : le lichen plan idiopathique oral ; les lésions lichénoïdes orales idiopathiques ; les...