1. Par où commence-t-on pour planifier un tel plan de traitement ?
La planification d’un traitement global de réhabilitation esthétique et fonctionnelle débute dès la première consultation, par une analyse clinique réalisée sans considération technique immédiate.
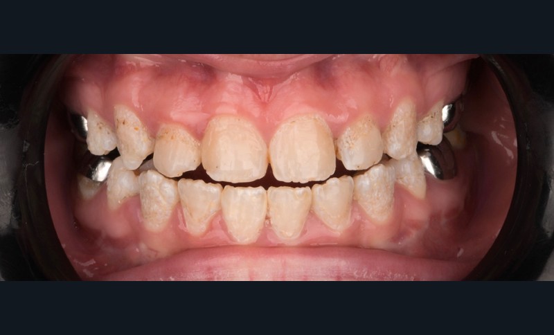
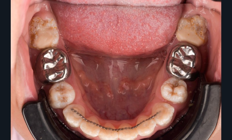
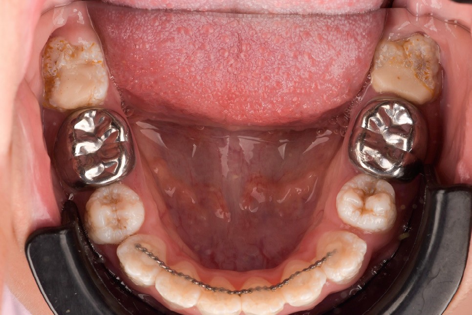
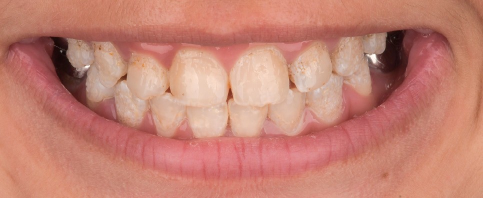
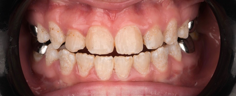
Lors de l’arrivée de la patiente, un examen clinique au fauteuil est effectué, complété par une empreinte numérique permettant l’enregistrement précis des arcades dentaires et de l’occlusion existante. Cet examen initial met en évidence une pathologie de type amélogenèse imparfaite. On note également la présence de couronnes métalliques au niveau des premières molaires, ainsi que de multiples restaurations, notamment au niveau des dernières molaires (fig. 1 à 4).
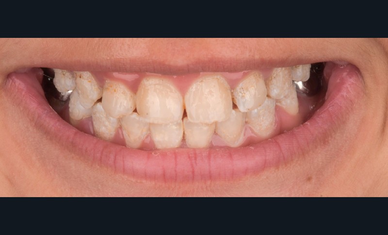
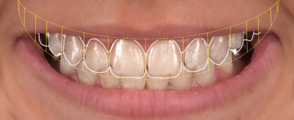
La première étape décisionnelle repose sur une analyse esthétique du visage et du sourire, réalisée à l’aide du logiciel SmileCloud. Cette analyse permet d’évaluer les proportions dentaires, la ligne du sourire et les rapports dento-labiaux. Elle confirme que le traitement vise à la fois la protection d’un émail de mauvaise qualité et l’amélioration de l’esthétique globale, avec notamment une optimisation des proportions dentaires (fig. 5 et 6).
Dès la première consultation, il apparaît que l’ensemble des dents devra être intégré dans le plan de traitement, dans une logique de réhabilitation globale. Le principe est de privilégier des approches additives, respectueuses des tissus dentaires résiduels.
2. Quel(s) matériau(x) indiquer et pour quelles raisons ?
Le choix des matériaux restaurateurs repose sur une analyse combinant critères biologiques, mécaniques et économiques, adaptés au contexte clinique de la patiente. Compte tenu de son jeune âge, une approche restauratrice prioritairement additive est privilégiée. Dans cette optique, le composite en technique directe est retenu pour…





