Responsable de séance : Philippe Doucet
Conférenciers : Frédéric Duffau, Benjamin Perron
Jusqu’où peut-on aller avec le traitement non chirurgical
Diagnostic : socle du traitement
Le décalage entre la demande du patient (souvent extractive) et l’objectif du praticien (stabilisation et conservation) est fréquent. Le diagnostic et son explication conditionnent à la fois la stratégie thérapeutique et l’adhésion du patient.
Bactéries et facteurs de risque
La vision centrée sur les parodontopathogènes (complexes de Socransky) est aujourd’hui relativisée. En pratique, un sondage pathologique suffit à attester de la présence bactérienne, rendant les tests développés peu contributifs (microscopie, test microbiens, test ADN). Les facteurs de risque (tabac, diabète, stress, réponse de l’hôte) sont déterminants pour l’évolution et le pronostic (fig. 1).
Diagnostic clinique et classification
Le diagnostic est avant tout clinique (saignement, douleur, halitose, plaintes fonctionnelles) (fig. 2).
Des questions simples (« la nourriture se coince-t-elle davantage qu’avant ? ») améliorent la qualité de l’anamnèse et l’adhésion du patient au traitement. Le vocabulaire doit être clarifié, notamment autour de la notion de « dent qui bouge », qui peut correspondre, pour le patient, aussi bien à une mobilité qu’à un déplacement secondaire.
La classification actuelle permet une lecture rapide de la gravité : une poche ≥ 8 mm correspond déjà à un stade 3 ; le stade 4 implique une prise en charge pluridisciplinaire (fig. 3). Le rapport alvéolyse/âge est un indicateur clé de sévérité.
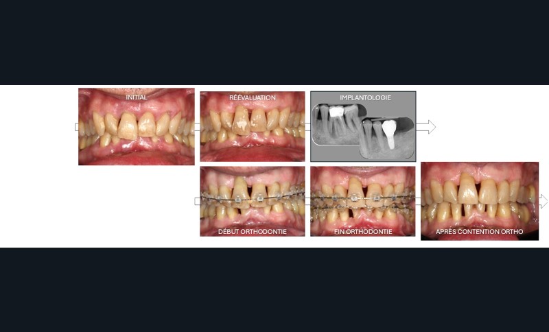
Traitement non chirurgical : efficacité raisonnée
L’assainissement mécanique est la base du traitement (fig. 4). Les ultrasons, moins douloureux et plus conservateurs du cément, sont à privilégier, leur utilisation pouvant, selon l’expérience…


