La zircone est-elle une alternative au titane en implantologie orale ?

  • Par
  • Publié le . Paru dans L'Information Dentaire n°39 - 13 novembre 2019 (page 88-96)
Information dentaire
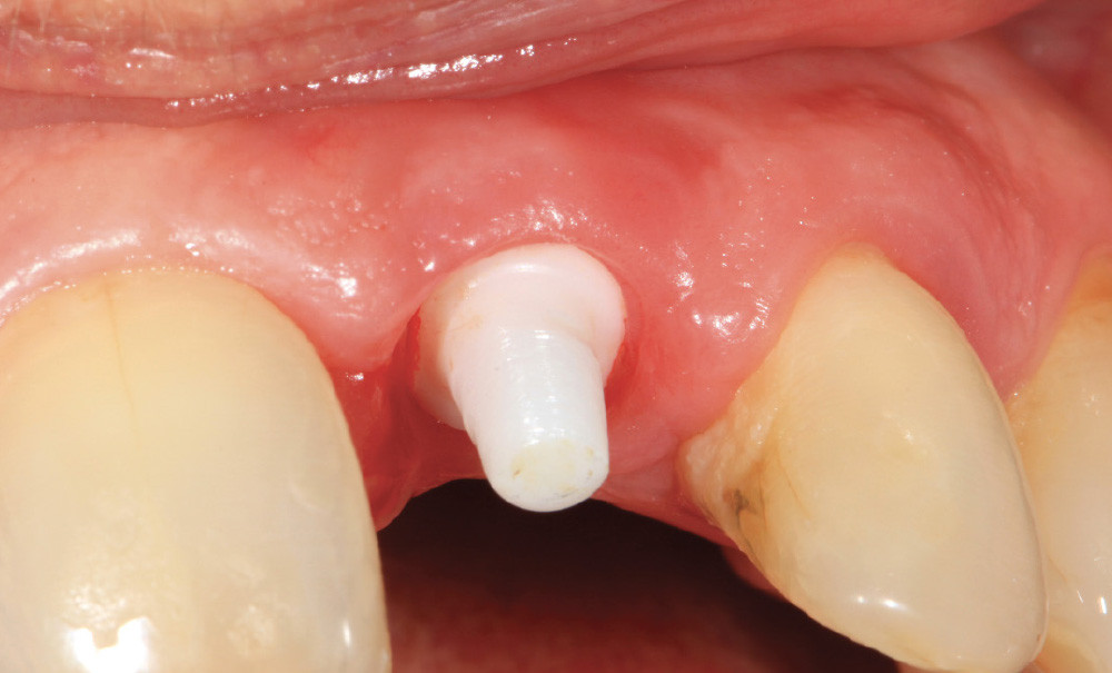
Il n’y a pas d’autre exemple de pratique médicale avec un concept qui soit autant lié à la métallurgie. « L’ostéointégration » telle que définie par Brånemark [1, 2] ou « l’ankylose fonctionnelle » développée par Schroëder [3] sont indissociables du titane et de ses alliages. Le développement de cette discipline durant les cinquante dernières années s’est fait autour de la mise en œuvre de ce métal dans les choix de son traitement de surface et du design des connexions, entre autres, laissant dans l’ombre l’implantologie céramique.
Elle est, pourtant, contemporaine de l’implantologie titane avec les précurseurs Willi Schülte [4] pour l’implant de Tübingen et le Professeur Sami Sandhaus avec l’implant CBS (« Crystalline Bone Screw ») qui, dans les années 1960, utilisent des implants en oxyde d’aluminium ou alumine. Des débuts prometteurs, mais la faiblesse des propriétés mécaniques de l’alumine a engendré des fractures en clinique et des désillusions.
Dès lors, le cahier des charges est bien identifié. Quel que soit le matériau, il devra être ostéo-muco-compatible, résistant aux contraintes mécaniques de la mastication et permettre sa mise en forme pour un ajustage micromécanique de la prothèse dont il est le support. C’est toujours le Professeur Sami Sandhaus qui innovera avec l’utilisation de la zircone en implantologie (implant SIGMA Quatro® Incermed) et défrichera les facteurs de succès comme le choix du minerai d’origine ou la compaction des poudres.

La structure

Le zirconium est un métal de transition du groupe IV et du sous-groupe du titane dans le tableau de Mendeleïev (1869) des éléments chimiques par masse atomique croissante. Il a une densité de 6,5 et un point de fusion à 1 850 °C. Dans la nature, le zirconium se trouve dans les minerais sous la forme de silicate : zircon ZrSiO4, ou d’oxyde, zircone pure : baddeleyite et zirkite ZrO2.

La zircone, ou dioxyde de zirconium (ZrO2), est une céramique. On distingue deux types de céramiques : céramique d’oxyde comme la zircone ou l’alumine (oxyde d’aluminium), et céramique non oxyde comme le nitrure de titane.

La classification des céramiques d’oxyde en fonction de leur microstructure est répertoriée dans le tableau 1. Il en découle que les propriétés mécaniques élevées vont dans le sens d’une concentration en phase cristalline, les propriétés optiques et aptitude au collage dans le sens d’une concentration en phase vitreuse. La zircone est une céramique polycristalline totalement cristallisée [5]. Pour renforcer ce réseau cristallin, on parle de stabilisation (ou dopage, terme moins approprié) par l’incorporation d’oxyde d’Yttrium (yttria) ou d’alumine.

Deux types de zircone composent les implants céramiques présents sur le marché [6] : le principal est l’Y-TZP (« Yttria stabilized Tetragonal Zirconia Polycristals »), l’autre l’ATZ (« Alumina Toughened Zirconia »), qui sert également pour la confection des forets. Le tableau 2 regroupe leurs composition, résistance à la flexion, ténacité (résistance à la fracture), module d’Young (module d’élasticité) et dureté. Le tableau 3 détaille les matériaux en développement, ZTA et Ce-TZP/Al2O3, que l’on retrouve dans la bibliographie.

Ce sont des matériaux extrêmement rigides et durs, le défi étant de faire en sorte qu’ils ne soient pas cassants. Cette caractéristique, la résistance à la propagation…

Cet article est réservé aux abonnés.
Pour lire la suite :

Vous êtes abonné.e ? Connectez-vous
Mot de passe
oublié ?

Vous pouvez également :

Acheter l'article En version numérique
Acheter le numéro À l'unité

Thèmes abordés

Sur le même sujet

Implantologie chirurgicale

Article réservé à nos abonnés 11e SUI, l’implantologie en partage

  Impact de l’angle d’émergence implanto-prothétique sur la santé péri-implantaire Rawen SMIRANI (Bordeaux) La santé péri-implantaire est influencée par de...
Implantologie

Article réservé à nos abonnés Gestion du nerf incisif lors de la pose de deux implants symphysaires : cas clinique

La zone inter-foraminale est traditionnellement considérée comme anatomiquement sûre, car éloignée du trajet principal du nerf alvéolaire inférieur. De nombreuses...
Implantologie

Article réservé à nos abonnés Rencontre avec Marwan Daas
Couronnes sur implants : les secrets de la réussite

Responsable de séance : Edouard Cristofari Intervenant : Marwan Daas Analyse esthétique L’observation clinique et esthétique constitue le point de départ incontournable....
Implantologie chirurgicale

Article réservé à nos abonnés Rencontre avec Pierre Keller :
gestion des tissus mous péri-implantaires

Responsable de séance : Franck Afota Extraction–implantation immédiate (EII) : volumes osseux et gingivaux suffisants Lorsque les volumes osseux et gingivaux sont...
Implantologie Implantologie chirurgicale

Article réservé à nos abonnés Gestion d’un défaut de cicatrisation du plancher sinusien à l’aide d’une membrane en magnésium : rapport de cas

L’élévation sinusienne par voie latérale est une technique fréquemment utilisée en implantologie pour compenser une perte osseuse verticale au niveau...
Implantologie chirurgicale

Article réservé à nos abonnés De l’hypersensibilité à la stabilité : une situation mucogingivale

Cas clinique Une patiente âgée de 34 ans, ne présentant aucune pathologie systémique connue et sans antécédents de tabagisme, consulte...