Le laser diode en orthodontie : gadget ou véritable atout pour le cabinet ?

  • Par
  • Publié le . Paru dans L'Orthodontiste n°1 - 15 février 2026 (page 34-40)
Information dentaire
Le laser diode s’invite aujourd’hui dans les cabinets d’Orthodontie comme un outil innovant aux promesses multiples : précision chirurgicale, confort patient, gain de temps et amélioration de l’organisation des soins. Face à l’essor des nouvelles technologies, le praticien peut légitimement s’interroger sur la réelle valeur ajoutée de cet équipement au quotidien. Simple effet de mode ou véritable atout ? À travers notre expérience de terrain, cet article propose d’analyser les applications concrètes du laser diode en orthodontie, ses bénéfices, ses limites ainsi que ses aspects économiques.

Le laser diode ? Cet outil est désormais devenu indispensable dans la pratique quotidienne des orthodontistes !

LE LASER DIODE : KESAKO ?

Le laser diode est un dispositif médical utilisant un semi-conducteur qui émet une lumière monochromatique dans le proche infrarouge (405 – 980 nm). Son énergie, bien absorbée par l’hémoglobine et la mélanine, le rend particulièrement efficace pour le traitement des tissus mous. Il associe trois longueurs d’onde complémentaires :

  • 405 nm : permet le diagnostic précis des lésions et des zones bactériennes grâce au phénomène d’autofluorescence ;
  • 635 nm : stimule la régénération cellulaire et procure un effet antalgique et anti-œdémateux ;
  • 980 nm : offre une action chirurgicale et hémo­statique performante grâce à sa forte absorption dans l’eau et la mélanine [1].

APPLICATIONS CLINIQUES

EN ORTHODONTIE

En orthodontie, nous sommes confrontés à des situations cliniques que nous souhaiterions pouvoir gérer nous-mêmes, tant pour optimiser l’organisation du traitement que pour en faciliter la mise en œuvre, notamment lors des tractions de canines incluses, de frénectomies labiales supérieures, et d’hyperplasies gingivales. Rappelons que tous ces actes (hormis la photo-biomodulation) doivent être réalisés sous anesthésie locale.

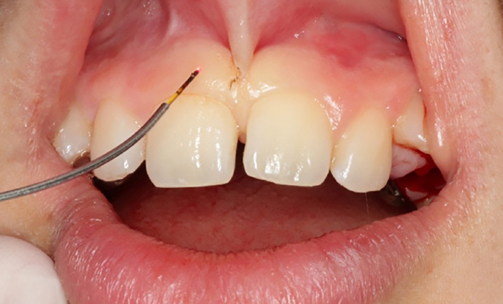
La photo-biomodulation

Elle peut être utilisée sur des lésions muqueuses causées par un fil qui dépasse, un bracket, un crochet, une barre palatine ou un disjoncteur. Elle peut être utilisée également après un acte chirurgical au laser. Cette étape accélère la cicatrisation, permet une diminution de l’inflammation et procure un effet antalgique immédiat très apprécié des patients [2] (fig. 1, 2).

À l’heure actuelle, et étant donné les fréquences de visite des patients dans nos cabinets, on ne peut pas démontrer de manière concluante que l’utilisation du laser accélère significativement les mouvements…

Cet article est réservé aux abonnés.
Pour lire la suite :

Vous êtes abonné.e ? Connectez-vous
Mot de passe
oublié ?

Vous pouvez également :

Acheter l'article En version numérique
Acheter le numéro À l'unité

Thèmes abordés

Sur le même sujet

Matériels

Article réservé à nos abonnés L’impression 3D en orthodontie : faut-il s’équiper ?

Applications en orthodontie [1-3] Champs d’application classiques L’impression 3D ouvre l’accès à un large éventail d’applications orthodontiques, avec notamment l’impression...