Les usages et donc les connaissances en biomatériaux sous-tendent la plupart de nos actes en omnipratique, comme en odontologie pédiatrique. Si la traumatologie ne fait pas exception, elle a peu été abordée dans BMC, en particulier concernant les pathologies du déplacement dentaire. Et pourtant ! Bien que les traumas de type fracture soient les plus fréquents sur les dents permanentes, il a été rapporté, dans une étude sur plus de 400 enfants et adolescents, que les luxations au sens large (impactions, extrusions, luxations latérales et expulsions) représentent près de 30 % des traumas et que les traitements d’urgence les plus fréquemment réalisés étaient la pose d’une contention (25 % des cas) et des restaurations (transitoires 21 % cas et d’usage 8 %) [1].
Ce numéro construit sous forme de cas cliniques est ainsi l’occasion de discuter plusieurs points « biomatériaux » appliqués à cette prise en charge, tout en permettant quelques révisions en traumatologie, d’autant plus que ces situations fréquentes, mais non quotidiennes, laissent parfois le praticien hésitant quant à la conduite à tenir. Par ailleurs, les recommandations internationales de l’International Association of Dental Traumatology (IADT), sur lesquelles nous nous baserons [2, 3], restent parfois peu détaillées sur les modalités précises de mise en œuvre, et laissent alors une certaine part à l’expérience, aux préférences et aux habitudes de chacun.
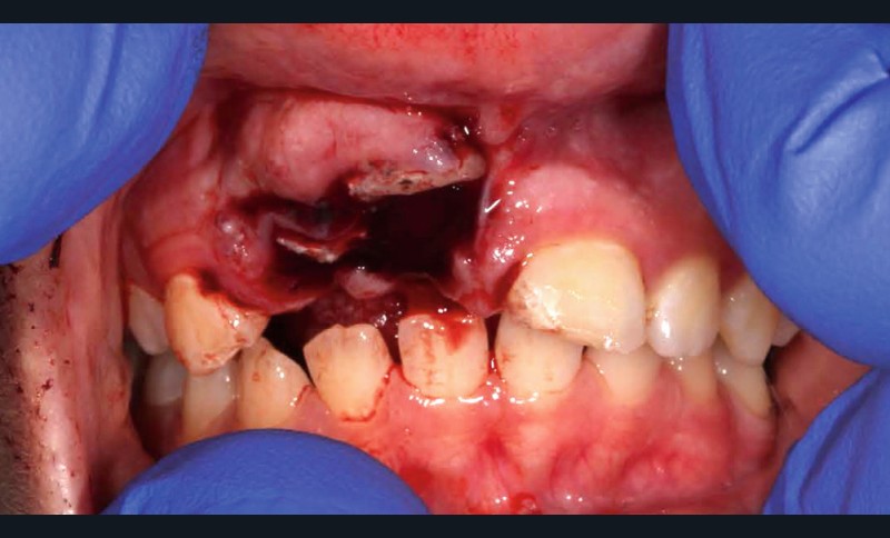
Situation clinique
Yasmine, une adolescente de 14 ans et demi, en bonne santé générale, consulte en urgence vers 10h30, à la suite d’une chute s’étant produite le matin même en allant à l’école vers 8h. Les figures 1 et 2 montrent respectivement les vues cliniques et radiographiques. La mère nous rapporte un antécédent de trauma sur les incisives centrales, il y a quelques années.



