Responsable de séance : Adrien Lavenant
Intervenants : Olivier Etienne, Dorian Bonnafous
De quoi parle-t-on ?
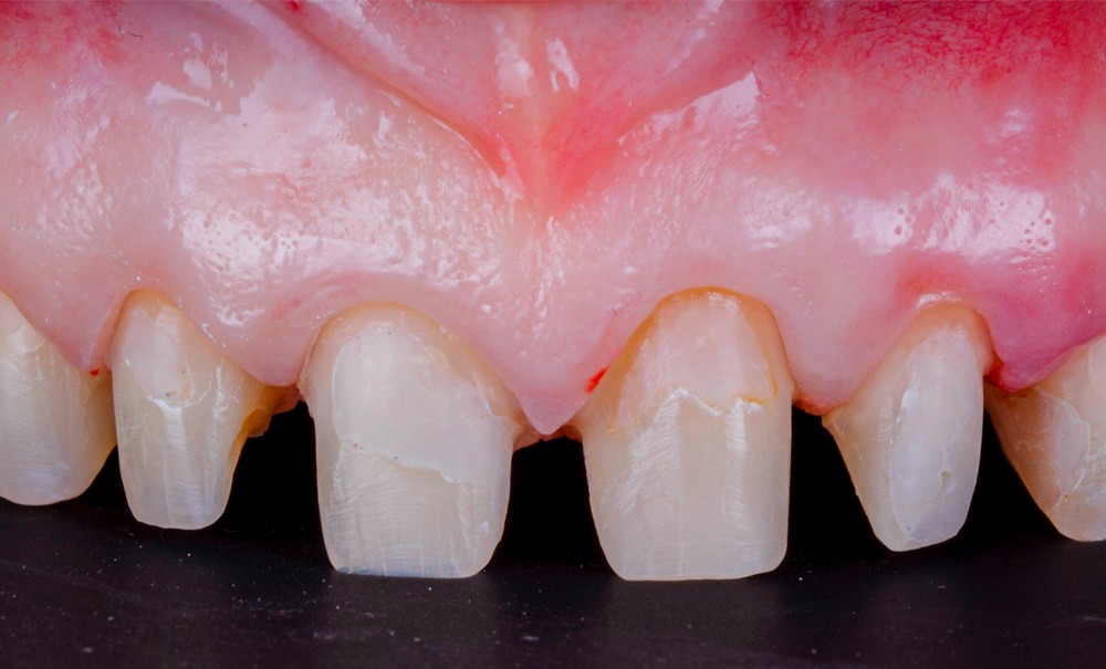
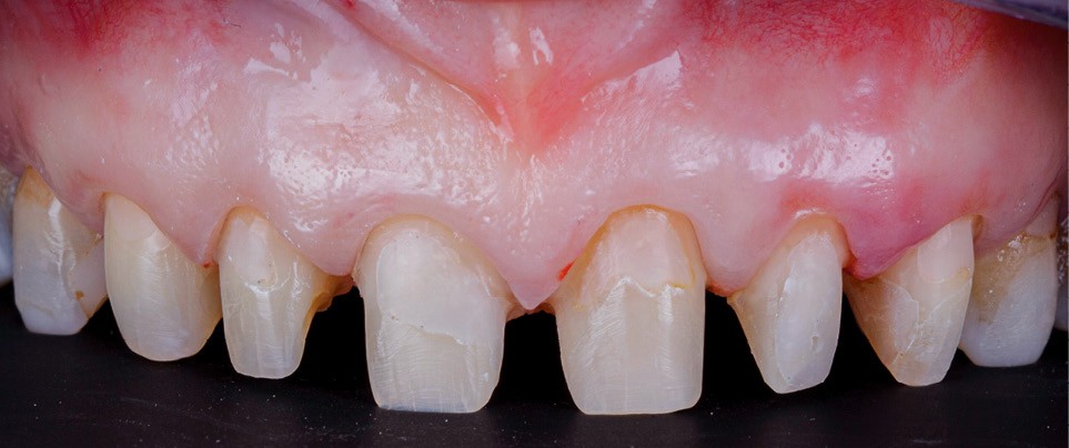
Préparations horizontales
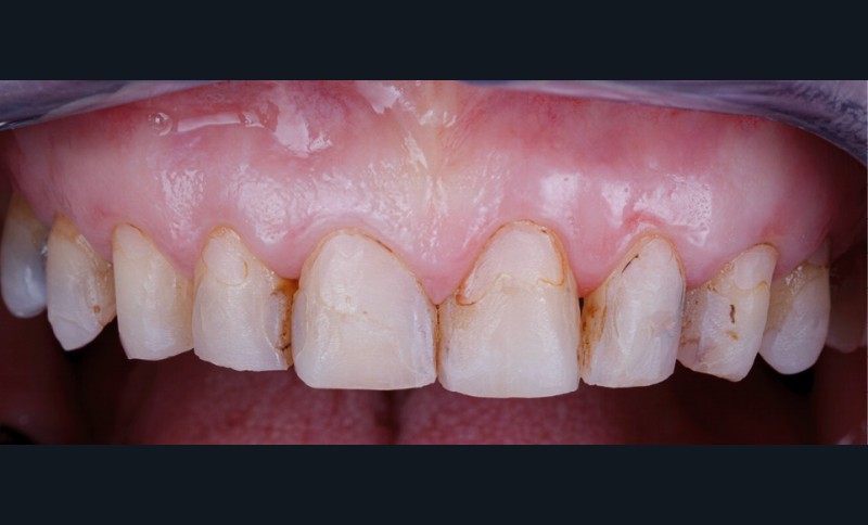
Les préparations horizontales reposent sur la création d’une ligne de finition nette, sous forme d’épaulement (droit ou à angle arrondi) ou de congé (chanfrein quart-de-rond) (fig. 2). Le congé large, popularisé dans les années 2000, offrait un volume prothétique important, facilitant le travail du prothésiste et garantissant une épaisseur suffisante pour les restaurations céramiques. Des études avec un recul allant jusqu’à 18 ans ont montré des résultats cliniques satisfaisants malgré le caractère invasif de ces préparations [1].
Ce concept peut tout de même être retrouvé aujourd’hui, notamment lors de la dépose d’anciennes couronnes périphériques, lorsque la qualité du support est réduite et le pilier délabré ou encore lorsque l’hygiène est peu maîtrisée.
Toutefois, l’évolution vers des restaurations collées et la préservation tissulaire a conduit à une réduction progressive de la profondeur de préparation. Les concepts de « congé fin » et de « facette 360° » illustrent cette transition, avec un objectif clair : préserver l’émail et optimiser l’adhésion, notamment pour les vitrocéramiques [2] (fig. 1).
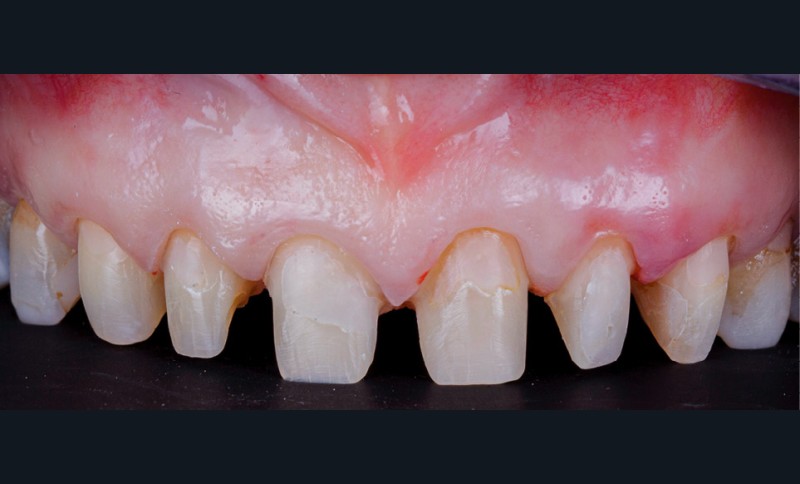
Préparations verticales
La préparation verticale repose sur une mise en dépouille continue sans ligne de finition horizontale marquée, se terminant par un biseau cervical (fig. 2). Bien que souvent perçue comme innovante, cette approche s’inspire en réalité de techniques anciennes utilisées dès les années 1940 pour les restaurations métalliques coulées.
Son évolution moderne s’est articulée autour de plusieurs étapes clés (fig. 3) [3] :
- années 1970 : intégration d’une composante verticale à une préparation horizontale afin d’assurer l’épaisseur…



