Les maladies parodontales ulcéronécrotiques

  • Par
  • Publié le . Paru dans Réalités Cliniques n°2 - 16 juin 2016 (page 91-101)
Information dentaire
Résumé
La gingivite ulcéronécrotique (GUN) et la parodontite ulcéronécrotique (PUN) sont les seules maladies parodontales qui se caractérisent par une atteinte ulcéreuse et nécrotique de la gencive. Elles représentent deux expressions cliniques de la même pathologie. La GUN affecte le parodonte marginal et la PUN le parodonte profond. Leur classement dans la catégorie des maladies parodontales nécrotiques est justifié par des critères cliniques qui permettent de les distinguer des lésions ulcéreuses du parodonte associées à des maladies générales. D’origine infectieuse, leur survenue, développement et évolution sont conditionnés par des facteurs de risque dont la prise en compte est essentielle pour le pronostic et l’établissement du plan de traitement.
Implication clinique
Faire le point sur les caractéristiques cliniques et étiopathogéniques des maladies parodontales ulcéronécrotiques ; préciser les particularités de l’abord thérapeutique.

Les maladies parodontales ulcéronécrotiques sont des entités cliniques dont l’ulcération par nécrose de la gencive est le principal signe pathognomonique. Décrites depuis des décennies, il faut attendre 1989 pour que l’Association Américaine de Parodontologie [1] distingue deux expressions cliniques correspondant à la même pathologie mais à des stades différents de sévérité : la gingivite ulcéronécrotique (GUN) et la parodontite ulcéronécrotique (PUN).
Bien que la prévalence de ces maladies soit faible, la GUN et la PUN ont toujours suscité un intérêt médical car elles reflètent parfaitement la complexité des interactions qui existent entre les protagonistes étiologiques des maladies parodontales. Les données récentes de la littérature éclaircissent toutefois leur pathogenèse et permettent de mieux cibler les stratégies préventives et thérapeutiques dans la prise en charge des patients à risque [2].

Diagnostic
Le diagnostic des maladies ulcéronécrotiques est purement clinique. Il est posé grâce à un examen clinique minutieux, complété obligatoirement par un examen de radiologie (orthopantomogramme ou bilan rétro-alvéolaire). Les examens complémentaires biochimiques, microbiologiques ou histologiques sont uniquement indiqués pour détecter un facteur de risque général ou une surinfection.

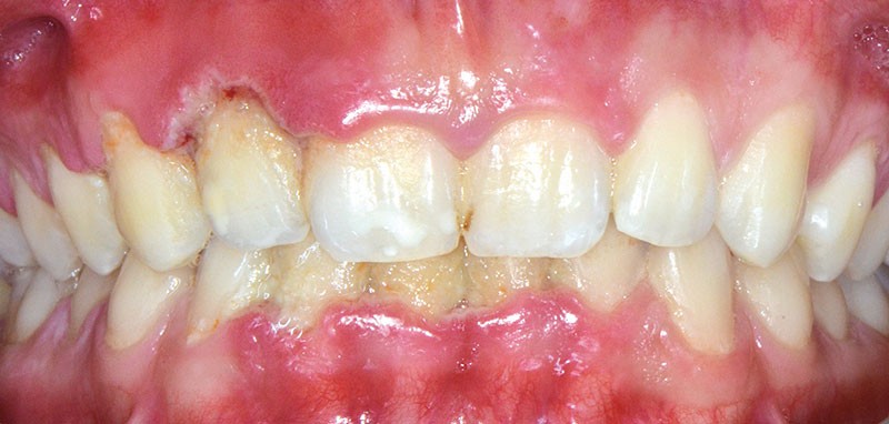
Le diagnostic de la GUN se fonde sur l’association de trois signes cliniques pathognomoniques [3] (fig. 1) :
• l’algie gingivale : la douleur constitue généralement le motif de la consultation. Décrite comme intense, elle contrarie les manœuvres d’hygiène quotidiennes et restreint l’alimentation.
• la gingivorragie : le saignement gingival, bien que non spécifique est d’emblée profus lors du brossage et de la mastication ; il peut être spontané.
• la nécrose des papilles gingivales : 
les papilles sont les premiers sites à se nécroser, laissant une muqueuse en forme de cratère. La gencive marginale…

Cet article est réservé aux abonnés.
Pour lire la suite :

Vous êtes abonné.e ? Connectez-vous
Mot de passe
oublié ?

Vous pouvez également :

Acheter l'article En version numérique
Acheter le numéro À l'unité

Thèmes abordés

Sur le même sujet

Parodontologie

Article réservé à nos abonnés Le sucre : une cause oubliée de la maladie parodontale ?

Les maladies parodontales demeurent très fréquentes dans le monde [1] et, malgré des efforts considérables en matière d’hygiène bucco-­dentaire, leur...
Parodontologie

Article réservé à nos abonnés Comprendre les lésions intra-osseuses pour optimiser le traitement non chirurgical

Diagnostic et étiopathogénie des défauts parodontaux intra-osseux Diagnostic Les défauts parodontaux intra-osseux sont des lésions osseuses confinées au sein de l’os alvéolaire...
Parodontologie

Article réservé à nos abonnés État parodontal et grossesse : résultats d’une étude observationnelle dans le post-partum dans la ville de Douala (Cameroun)

Introduction La relation entre la santé parodontale et la grossesse fait l’objet de nombreux travaux à travers le monde. L’objectif...
Parodontologie

Article réservé à nos abonnés Gestion du tissu kératinisé chez les patients adultes orthodontiques : mise au point clinique

RÉSUMÉ L’orthodontie et la parodontologie sont deux disciplines odontologiques intimement liées en raison de leurs actions communes sur le parodonte. Une absence...
Parodontologie

Article réservé à nos abonnés Consultation halitose au sein d’un service de parodontologie : étude clinique rétrospective sur 15 ans

RÉSUMÉ Contexte Les auteurs de cette étude ont cherché à établir le parcours de soins et à évaluer les données...
Parodontologie

Article réservé à nos abonnés Le traitement parodontal et les affections de longue durée (ALD)

Cliniquement, la parodontite se manifeste par une atteinte du parodonte superficiel et profond : gencive œdématiée avec saignement provoqué au...