En France, la réalisation d’une couronne périphérique retenue par un inlay-core reste la solution la plus utilisée pour reconstituer une dent fortement délabrée. Cette pratique fiable consomme énormément de tissu dentaire et ce, pour des raisons strictement mécaniques. L’évolution des techniques adhésives permet une approche plus conservatrice et plus respectueuse des tissus [1]. Ainsi, la réalisation d’une couronne avec inlay-core devrait être indiquée uniquement lorsque la perte tissulaire est trop importante et les tissus résiduels non fiables pour réaliser un collage de qualité [2]. C’est le « no post, no crown dentistry » [3]. Ce n’est donc plus la dent qui s’adapte aux restaurations, ce sont ces dernières qui s’adaptent à la perte tissulaire avec, pour objectif, le renforcement des structures résiduelles, en conférant à la dent un comportement biomécanique proche de celui de la dent naturelle : on parle alors de biomimétique ou de bio émulation [4].
L’avènement du collage a donné naissance aux restaurations partielles collées (RPC) indirectes qui, contrairement aux RPC directes (restaurations aux composites), impliquent une étape de laboratoire ou de conception et fabrication assistée par ordinateur (CFAO).
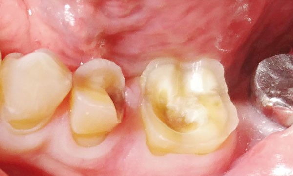
Nous nous intéresserons au concept de préparations assistées par guidage (PAG) développé par le Dr Jacques Raynal, permettant de normaliser les RPC indirectes aux critères d’exigences de la chaîne de CFAO. Nous illustrerons nos propos par un cas clinique, avec la réalisation de deux RPC indirectes de type V-Prep sur une deuxième prémolaire mandibulaire gauche (35) et sur une première molaire mandibulaire gauche (36).
Préparation assistée par guidage
Shillingburg et al. [5] expliquent que « l’application des progrès technologiques par un opérateur habile favorise la réalisation d’un travail de meilleure qualité. Mais, entre les mains d’un praticien qui ne les maîtrise pas, ces moyens…