Anamnèse
Une patiente de 29 ans, sans antécédent médical rapporté et non-fumeuse, consulte pour une inflammation gingivale persistante, malgré plusieurs traitements parodontaux non chirurgicaux réalisés par trois praticiens. Elle décrit des saignements gingivaux fréquents ainsi qu’une sensibilité marquée au brossage, notamment au niveau des incisives mandibulaires. L’hygiène bucco-dentaire est assurée deux fois par jour à l’aide d’une brosse à dents de type médium. De surcroît, depuis deux mois, et sur les conseils du dernier praticien, elle a remplacé son dentifrice par un mélange « maison » à base de bicarbonate de soude et d’eau oxygénée, sans ressentir, toutefois, d’amélioration de son état buccal.
La patiente signale également une fatigue chronique et des troubles digestifs récurrents, caractérisés par des ballonnements et des sensibilités abdominales évoluant depuis plusieurs semaines.
Clinique
L’examen clinique et radiologique confirme le diagnostic de parodontite généralisée de stade III, grade C, déjà posé par les praticiens précédemment consultés. L’inflammation gingivale est modérée et généralisée, mais apparaît particulièrement marquée au niveau des incisives mandibulaires, en vestibulaire comme en lingual, en lien avec la présence importante de dépôts de plaque et de tartre.
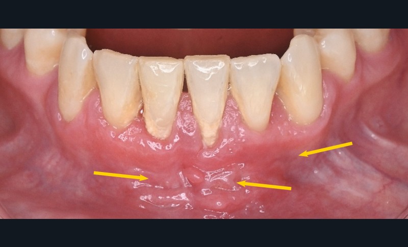
L’examen des muqueuses révèle également, au niveau de la muqueuse vestibulaire antérieure mandibulaire, la présence de fissures linéaires et d’excroissances muqueuses (pseudopolypes), fermes, d’aspect érythémateux et inflammatoire, douloureuses à la palpation (fig. 1).
Le reste de la muqueuse buccale présente un aspect normal, et l’examen ganglionnaire ne met pas en évidence d’adénopathie cervico-faciale palpable.
Hypothèses diagnostiques
Les particularités du tableau clinique – incluant une fatigue persistante, des troubles digestifs, une inflammation gingivale…
