Manifestations orales de l’infection par le VIH : les lésions que le chirurgien-dentiste doit connaître

  • Par
  • Publié le . Paru dans Réalités Cliniques n°3 - 15 septembre 2025 (page 36-40)
Information dentaire
Les manifestations orales de l’infection par le virus de l’immunodéficience humaine (VIH) peuvent être le premier signe d’une infection active. Elles sont considérées comme des paramètres essentiels pour le diagnostic de l’infection à un stade précoce et constituent des marqueurs indirects de l’évolution de la maladie ou de l’efficacité des traitements. Une grande partie d’entre elles sont des infections opportunistes liées à l’immunosuppression sous-jacente. Bien que le traitement antirétroviral hautement actif (TAHA) ait considérablement amélioré la durée et la qualité de vie des patients vivant avec le VIH, le chirurgien-dentiste joue un rôle clef dans le dépistage des manifestations orales et de leur évolution chez les sujets infectés.

Des manifestations orales peuvent apparaître chez 50 % des patients infectés par le VIH et 80 % des patients au stade du sida (taux de lymphocytes T CD4+ <200 cellules/mm3) [1-3]. Ces lésions orales étant considérées comme les premières caractéristiques cliniques de l’infection par le VIH et comme des marqueurs hautement prédictifs de l’immunosuppression, il est indispensable de les individualiser pour le dépistage, le diagnostic et le traitement précoces des patients atteints du VIH/sida [2]. Les manifestations orales n’augmentent pas seulement la morbidité des personnes touchées, mais elles sont aussi un indicateur du mauvais pronostic de la maladie [4].
Manifestations orales aiguës de l’infection par le VIH

Le VIH se transmet par les liquides corporels (sang, sperme, liquide pré-séminal ou pré-éjaculatoire, sécrétions vaginales et lait maternel) lors d’un contact avec une zone lésée ou une muqueuse. La salive en revanche n’est pas un fluide contaminant. La primo-infection par le VIH survient dans les 2 à 6 semaines qui suivent l’exposition au virus [5]. Les symptômes ressemblent à ceux d’une grippe : fièvre (90 % des patients), adénopathies (50-90 % des patients), rash cutané (35-77 % des patients) et ulcérations orales (30-35 % des patients) [5]. À ce stade, le système immunitaire commence à réagir et la charge virale est très élevée. Il s’ensuit une phase de latence asymptomatique pouvant durer entre 5 et 10 ans chez une personne non diagnostiquée non traitée.

Manifestations orales chroniques de l’infection par le VIH

Infections opportunistes

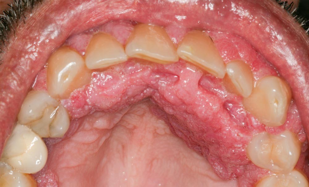
La candidose oro-pharyngée

C’est l’infection orale opportuniste la plus fréquente (17 à 75 % des patients selon les séries [2]) associée au candida albicans. Elle apparaît chez les sujets infectés par le VIH dont le taux de lymphocytes T CD4+ est inférieur à 200 cellules/mm3. Elle est considérée comme un facteur prédictif majeur…

Cet article est réservé aux abonnés.
Pour lire la suite :

Vous êtes abonné.e ? Connectez-vous
Mot de passe
oublié ?

Vous pouvez également :

Acheter l'article En version numérique
Acheter le numéro À l'unité

Thèmes abordés

Sur le même sujet

Dermatologie buccale

Article réservé à nos abonnés Maladie de Crohn : quand la bouche envoie un signal d’alerte !

Anamnèse Une patiente de 29 ans, sans antécédent médical rapporté et non-fumeuse, consulte pour une inflammation gingivale persistante, malgré plusieurs...
Dermatologie buccale

Article réservé à nos abonnés Les épulis

Quelles sont les 7 formes cliniques des épulis ? 1. Épulis inflammatoire (plasmocytaire) Nodule indolore, pédiculé, érythémateux, parfois ulcéré (fig. 1a)....
Dermatologie buccale

Article réservé à nos abonnés Variations physiologiques de la langue, ce que le chirurgien-dentiste doit savoir

Formes cliniques des variations physiologiques linguales Langue villeuse (fig. 3) • Augmentation de la taille et de la densité des...
Dermatologie buccale

Article réservé à nos abonnés Les abus sexuels chez l’enfant au cabinet dentaire : comment les repérer, comment protéger ?

Les abus sexuels chez l’enfant en quelques chiffres On estime, dans le monde, à 1 milliard le nombre d’enfants de 2 à 17 ans...
Dermatologie buccale

Article réservé à nos abonnés Prévention des IST au cabinet dentaire : quels messages délivrer à nos patients ?

Généralités Définition et épidémiologie [1] Les infections sexuellement transmissibles (IST), autrefois appelées maladies sexuellement transmissibles (MST), sont des infections pouvant...
Dermatologie buccale

Article réservé à nos abonnés Herpès buccal et herpès génital : que faut-il retenir ?

Les infections à herpès sont causées par les virus Herpès Simplex de type 1 (HSV-1) et de type 2 (HSV-2)....