Les patients qui consultent pour des réhabilitations complètes ont pour doléances de manger et d’avoir, si possible, une prothèse fixe, esthétique, fonctionnelle et surtout durable. La façon de les réaliser est finalement secondaire par rapport au résultat attendu.
Si les dispositifs numériques apportent une notion de modernité, perceptible par le patient, ce ne sont que des moyens techniques qui ne sont pas capables, en tant que tels, de garantir un succès thérapeutique.
En revanche, leur usage par un praticien qui les maîtrise permet d’envisager à travers la finesse du diagnostic, la maîtrise du projet prothétique et la précision des gestes planifiés, des traitements efficaces et reproductibles.
Quels sont ces outils, comment les utiliser et quelles perspectives permettent-ils d’entrevoir ?
Diagnostic et données
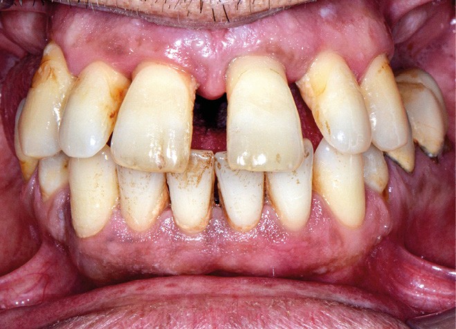
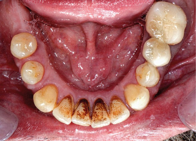
Tout projet prothétique nécessite une étude de cas détaillée, a fortiori pour les réhabilitations complètes ou de grande étendue (fig. 1). Cette étude commence par l’écoute des demandes du patient, jusqu’à l’observation clinique, en passant par tous les examens et enregistrements nécessaires à l’élaboration du diagnostic (fig. 2) [1].
Dès ce niveau peuvent intervenir des dispositifs numériques, comme les photos (fig. 3a-e), les empreintes optiques, les chartings numériques (fig. 4) et les acquisitions des volumes osseux et/ou des prothèses existantes [2]. On peut également utiliser des outils complémentaires comme les spectrophotomètres et les dispositifs numériques d’acquisition de la cinématique mandibulaire et/ou de l’activité musculaire, par exemple. L’objectif est d’obtenir un clone digital de notre patient (fig. 5), regroupant le maximum de données pour établir un diagnostic et une proposition de traitement en adéquation avec ses demandes et les données acquises de la science.
Dans…
 
	
	
						 
							
							
							
						










 
				 
			 
					 
					 
			 
			 
			 
			 
			 
			 
						 
	 
									 
													 
									