Situation clinique initiale
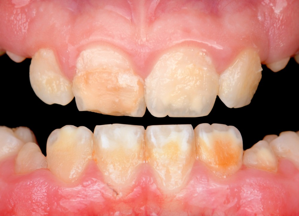
Une enfant de 11 ans consulte accompagnée de ses parents pour un motif esthétique : elle exprime une gêne importante liée à l’apparence de son sourire (fig. 1). L’interrogatoire ne révèle aucune douleur spontanée.
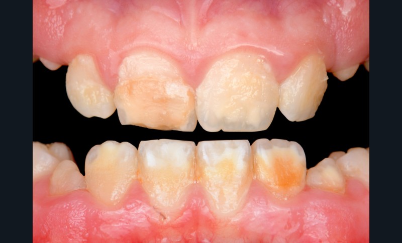
L’examen clinique met en évidence la présence de taches amélaires beige-blanc à marron sur l’ensemble des incisives maxillaires et mandibulaires (fig. 2). La dent n° 11 présente un émail hypominéralisé sévèrement dyschromié, friable au simple passage de la sonde. La dent n° 32 montre, sur sa face vestibulaire, une tache brun foncé sans signe associé de chipping amélaire. Les canines permanentes sont en cours d’éruption ; seules les pointes cuspides sont visibles en cavité buccale.
La présence de couronnes pédiatriques sur les premières molaires, associée au pattern des hypominéralisations observées oriente vers un diagnostic d’hypominéralisation molaires-incisives (MIH) sévère [1].
La MIH constitue un défi thérapeutique majeur en odontologie pédiatrique. Compte tenu de sa prévalence élevée [2], elle peut donner, à tort, l’impression d’être en recrudescence dans nos pratiques cliniques [3-5]. Au-delà de l’atteinte tissulaire, ses répercussions sur la santé psychologique et l’estime de soi des jeunes patients sont bien documentées [6, 7]. Une prise en charge précoce et raisonnée s’impose donc afin de restaurer l’esthétique du sourire tout en préservant au maximum le capital tissulaire [8].
1. Quels examens simples et non invasifs permettent de mieux déterminer le contour des atteintes hypominéralisées et d’en évaluer la profondeur afin d’en cartographier l’étendue ?
Éléments attendus :
La transillumination et la photographie polarisée constituent des examens complémentaires, simples et non invasifs, permettant une cartographie précise des lésions afin d’adapter le protocole…

