Dans une pratique dentaire où les attentes esthétiques des patients sont croissantes, la restitution fidèle de la couleur dentaire constitue un impératif clinique mais aussi un défi au quotidien. Jusqu’alors majoritairement fondée sur des méthodes visuelles subjectives, la prise de teinte s’enrichit aujourd’hui d’outils numériques de mesure, combinant objectivité, reproductibilité et communication optimisée. Les spectrophotomètres, les scanners intra-oraux intégrant la colorimétrie et les protocoles numériques comme eLAB permettent de passer d’une perception empirique à une démarche scientifique maîtrisée. Cet article détaille ces technologies, leur intégration dans nos flux de travail et leurs apports en termes de fiabilité, rapidité et communication entre le praticien et le laboratoire.
Principes fondamentaux de la couleur dentaire et teintiers conventionnels
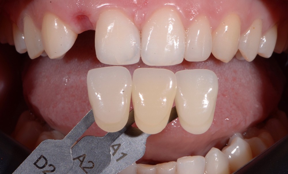
La couleur dentaire résulte de l’interaction complexe de la lumière avec les structures dentaires. L’émail, semi-translucide, laisse passer une partie de la lumière vers la dentine, plus opaque et colorée ; une fraction est réfléchie à chaque interface (fig. 1). Or, l’émail présente une épaisseur maximale à la partie incisale et minimale dans la zone cervicale, modifiant le ratio transmission/réflexion et, par conséquent, la couleur perçue [1]. Une segmentation en zones cervicale, médiane et incisale s’impose pour obtenir un relevé de teinte visuel et ainsi un guide de stratification, que ce soit pour la céramique (approche indirecte) ou le composite (approche directe) (fig. 2) [2].
L’être humain perçoit à la fois les teintes chromatiques et les variations de luminosité. La sensation colorée prend naissance dans la rétine, où deux types de photorécepteurs interviennent : les cônes, sensibles à différentes longueurs d’onde de la lumière visible, et les bâtonnets, spécialisés dans la détection…

