Examen clinique
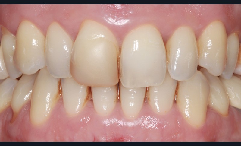
Ce patient est venu dans notre cabinet pour résoudre un problème esthétique vieux de trente ans : une chute à l’adolescence et l’angle incisif de la 11 a disparu…
Le composite réalisé en première intention, toujours en place, est disgracieux et en surcontour sans aucune préparation. Une chance pour la dentisterie moderne ! Après un nettoyage attentif des surfaces dentaires et la mise en forme du composite, nous réalisons un éclaircissement. Vingt-et-un jours après la fin de l’éclaircissement, nous prenons la teinte pour le laboratoire. Après discussion avec le patient et Guillaume Sabathier, le prothésiste, le choix se porte sur la réalisation d’une facette pelliculée feldspathique.
Nous choisissons de déposer le composite sous microscope afin de retrouver la forme originelle de la dent après l’accident. Le défi est d’harmoniser la couleur du corps de la dent, le chips est exclu : nous réaliserons une facette « limite ». Après discussion avec le patient, nous choisissons de définir la limite supragingivale juste au-delà du plus grand bombé, le prothésiste pense que ce sera le meilleur endroit pour assurer la transition esthétique entre la céramique et la dent.
Réalisation
Sous microscope, nous réalisons une préparation a minima, en restant dans l’émail, avec une fraise bague rouge Komet et un polissage avec des polissoirs à céramique. L’empreinte est réalisée avec un PVS Bisico en utilisant un PEI.
La phase transitoire est gérée avec de la résine bis-acryl en automoulage à partir d’un wax-up maintenu par un tout petit point d’etching au milieu de la face vestibulaire, sans bonding.
La préparation attentive, volontairement limitée en épaisseur, 0,2-0,3 mm, montre tout de même une bonne limite pour le laboratoire. Nous avons conservé…


