Le cas d’Anthony âgé de 11 ans et 7 mois qui présente une endomaxillie bilatérale associée à un léger encombrement mandibulaire dans un contexte de classe I squelettique hyperdivergente (fig. 1 à 10) est très représentatif de ce que peuvent apporter les forces légères appliquées aux alvéoles dentaires tout en intégrant des torques spécifiques qui permettent de contrôler parfaitement l’orientation radiculaire (fig. 11 à 29).
Le système laisse beaucoup de liberté dans l’interface entre bracket et arc : la vascularisation, et donc le recrutement cellulaire et la reconstruction osseuse s’en trouvent améliorés, la mise en place de l’occlusion se fait sous le contrôle de la matrice fonctionnelle, car les forces engagées restent en dessous de la puissance des forces masticatrices notamment.
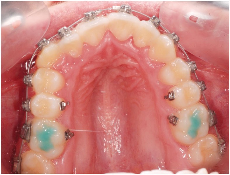
Sans aucun appareillage d’expansion, le maxillaire a été transformé et semble avoir été soumis à une disjonction (fig. 30).
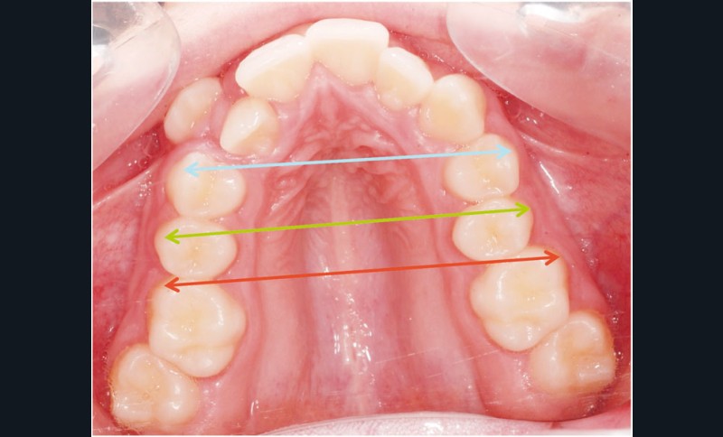
Les moulages avant-après montrent une augmentation du sens transversal de 10 mm au niveau des 1re et 2e prémolaires (fig. 31).
Sur l’examen cone beam (fig. 32 à 35) pratiqué 12 mois après la fin du traitement, les prémolaires…































