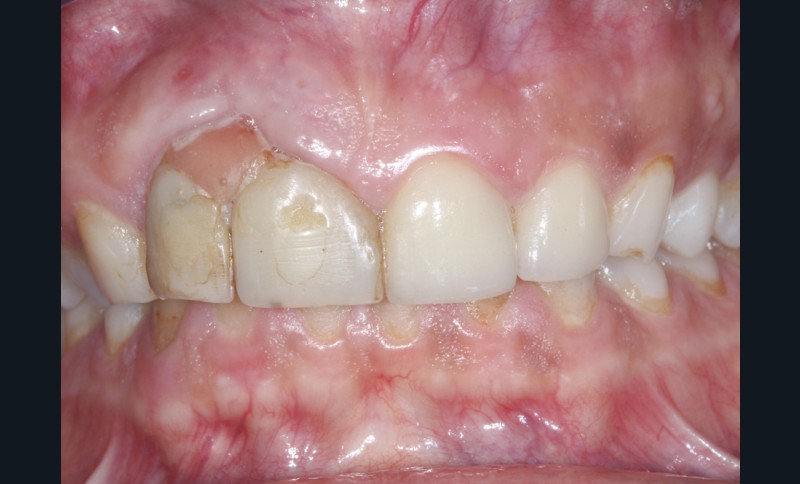
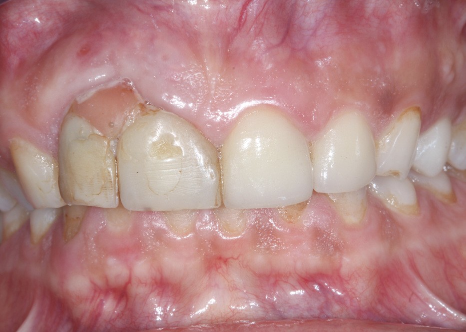
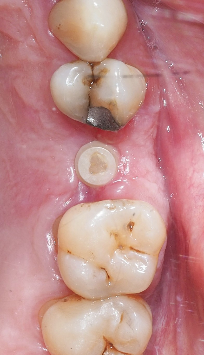
L’intégration de restaurations implanto-prothétiques est un toujours un défi. Le succès de cette thérapeutique est lié au respect de protocoles chirurgicaux et prothétiques stricts et bien codifiés. Le projet prothétique [1] dicte bien entendu le positionnement tri-dimensionnel de l’implant sur l’arcade dans un environnement tissulaire adéquat (présence de tissus kératinisés). Les matériaux de restauration et d’assemblage, ainsi que la connexion de la prothèse à l’implant jouent un rôle tout aussi prépondérant dans le succès esthétique immédiat, mais aussi dans la pérennité de celui-ci (fig. 1).
La zircone semble, depuis quelques années, prendre une place de plus en plus importante en implantologie, à la fois en chirurgie et en prothèse. Elle se retrouve en effet dans la composition des implants, des vis de cicatrisation et des restaurations d’usage (piliers et prothèses). Nous allons décrire ici, de manière non exhaustive, les possibilités de la zircone en implantologie, principalement prothétique.
Applications de la zircone en implantologie
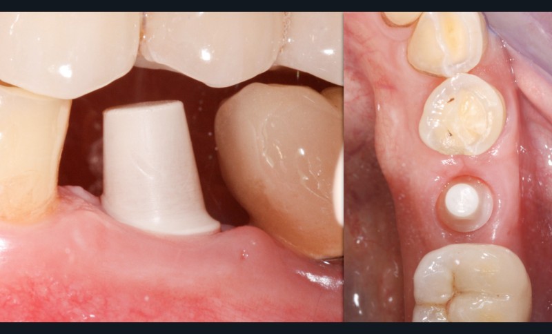
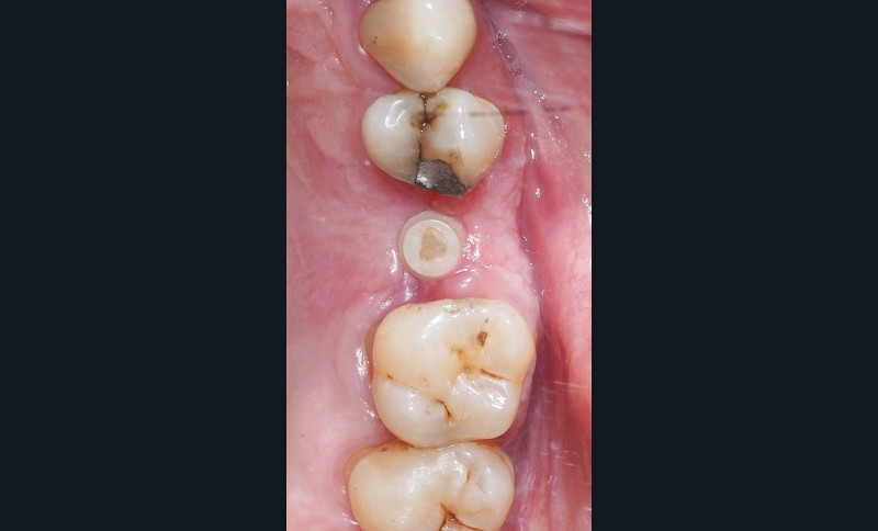
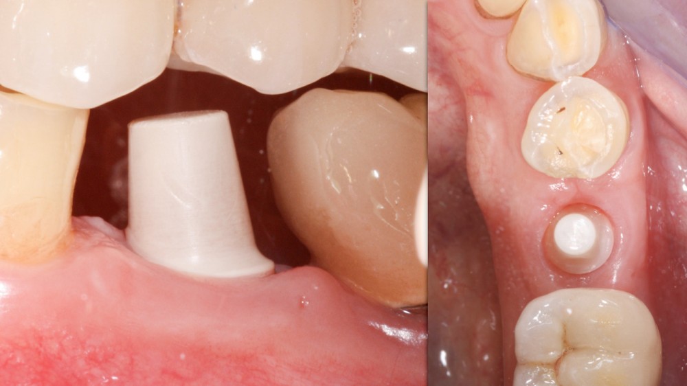
Le zirconium (numéro atomique 40) appartient à la même famille dans le tableau périodique des éléments que le titane (numéro atomique 22) : les métaux de transition. À ce titre, ils ont des propriétés physiques et biologiques similaires. La biocompatibilité et les capacités d’ostéo-intégration du titane sont depuis longtemps connues en médecine [2], employé en implantologie orale, et la zircone (le dioxyde de zirconium précisément), plus récemment, y trouve des applications nombreuses. Ceci n’est pas vrai seulement pour les pièces prothétiques, mais aussi pour les chirurgicales : des implants en zircone (mono-blocs ou non) et en titane avec bagues gingivales en zircone sont disponibles de nos jours (fig. 2-4). Il existe même sur le marché des vis de cicatrisations implantaires en zircone (fig. 5).
Cet article est réservé aux abonnés.
Pour lire la suite :
Abonnez-vous pour recevoir la revue et bénéficier des services en ligne et des avantages abonnés.
Vous pouvez également :





