Le plus souvent d’origine physiologique, les lésions d’usure ne justifient en général qu’une prévention primaire. Toutefois, une augmentation de sa prévalence et de son expression clinique chez l’adulte est largement décrite dans la littérature [1-3]. Une diminution de la dimension verticale d’occlusion (DVO) est observée lorsque la perte de substance dentaire excède la capacité adaptative des mécanismes de compensation dento-alvéolaire [4, 5]. Grâce aux progrès des techniques adhésives et des biomatériaux, des réhabilitations prothétiques peu invasives sont aujourd’hui possibles [6]. Une augmentation de la DVO pouvant aller jusqu’à 5 mm au niveau de la tige incisive peut être envisagée sans complications durables. En effet, la littérature rapporte que cette procédure est généralement bien tolérée puisque les éventuels inconforts musculaires ou articulaires sont transitoires et disparaissent spontanément [7]. Ces traitements nécessitent une planification rigoureuse incluant une Occlusion d’Intercuspidie Maximale (OIM) finale unique, calée et stabilisée avec un guidage antérieur fonctionnel, tout en respectant l’esthétique. La réussite de ces réhabilitations repose aussi sur l’implication du patient tout au long du protocole de soins. Enfin, elles doivent éviter les variations brutales et importantes chez les patients présentant une faible capacité d’adaptation du système articulo-neuromusculaire, notamment en cas de dysfonctionnement temporo-mandibulaire (DTM) [8-9], ou encore de troubles neuromusculaires ou psychiatriques [10]. Ces sujets sont plus susceptibles de développer des inconforts musculaires, articulaires ou neurosensoriels en réponse à des modifications rapides de la dimension verticale d’occlusion. Même si un nombre croissant de données tend à minimiser le rôle des caractéristiques occlusales dans la prise en charge des DTM [11], l’intégrité fonctionnelle des articulations temporo-mandibulaires…
Proposition d’une approche pédagogique pour la réhabilitation d’une dentition avec lésions érosives
- Par
- Publié le . Paru dans Réalités Cliniques n°4 - 15 décembre 2025 (page 20-30)
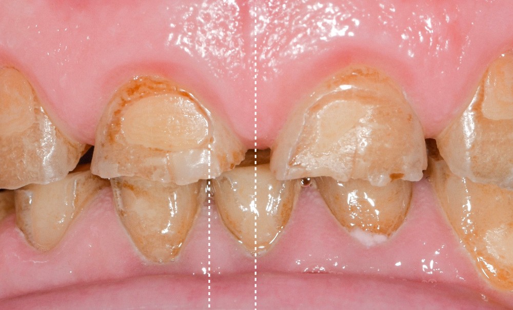
Les changements de mode de vie et les modifications de l’alimentation conduisent de plus en plus fréquemment à la prise en charge de patients présentant de larges lésions d’usure, associées éventuellement à une perte de la dimension verticale de l’étage inférieur de la face. Dans ce contexte, la santé des articulations temporo-mandibulaires, en particulier en présence de dysfonction temporo-mandibulaire (DTM), constitue un paramètre essentiel dans la conduite des étapes cliniques. L’enchaînement de ces étapes doit être mené de manière logique et chronologique afin de garantir une intégration optimale de la réhabilitation globale. Cet article, construit autour d’un cas clinique, illustre à la fois une prise de décision thérapeutique argumentée et la réalisation, à l’aide de techniques conventionnelles, des réhabilitations provisoires et définitives.
Cet article est réservé aux abonnés.
Pour lire la suite :
Vous êtes abonné.e ?
Connectez-vous
Pas encore abonné.e ?
Abonnez-vous
Abonnez-vous pour recevoir la revue et bénéficier des services en ligne et des avantages abonnés.
Vous pouvez également :
Acheter l'article
En version numérique
Acheter le numéro
À l'unité