Contexte clinique initial
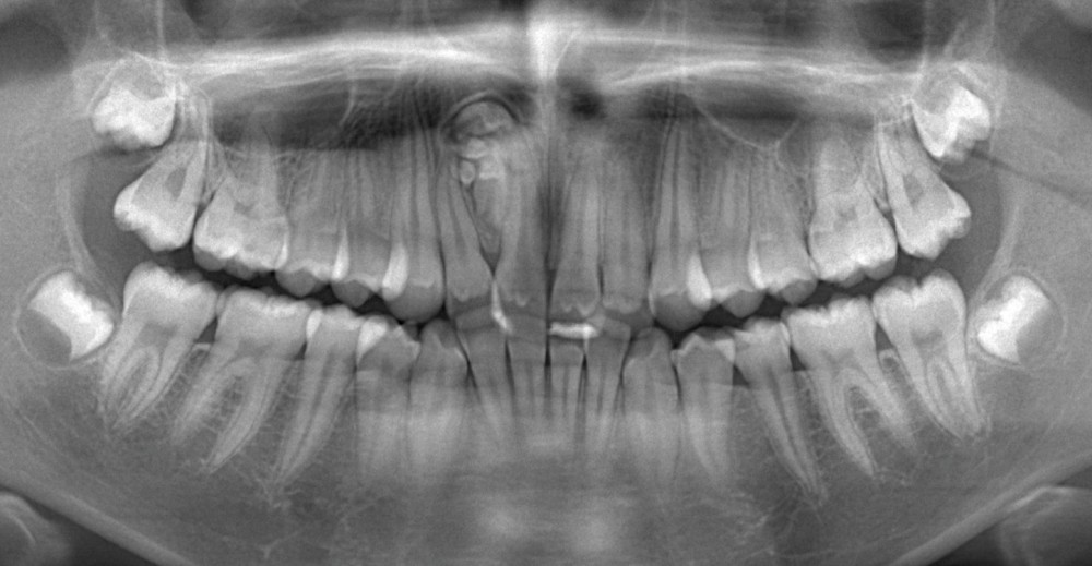
Une patiente âgée de 12 ans, sans symptomatologie a réalisé une radiographie panoramique (fig. 1).
QUIZ 1
Que voyez-vous de particulier sur cette radiographie panoramique ?
Réponse 1
À la lecture de cette radiographie panoramique, l’image met en évidence plusieurs formations radio-opaques regroupées, bien délimitées et apparemment entourées d’une capsule radio-claire, localisées entre 11 et 12, évoquant a priori un odontome composé.
Il s’agit d’une tumeur bénigne fréquente des maxillaires, le plus souvent observée au maxillaire, tandis que les odontomes complexes, plus rares, se manifestent préférentiellement à la mandibule, dans la région postérieure 1.
QUIZ 2
Si vous envisagez un examen complémentaire, quelle est sa justification ? Quelles sont les mentions à apposer ?
Réponse 2
La tomographie volumique à faisceau conique (CBCT) est recommandée afin de préciser la localisation de l’odontome ainsi que ses caractéristiques, d’analyser ses rapports avec les structures anatomiques avoisinantes et d’anticiper les modalités de l’intervention chirurgicale.
Dans ce cas, la région explorée correspond au secteur incisif maxillaire, ce qui justifie l’utilisation d’un champ d’acquisition réduit. Ce choix permet non seulement de limiter l’exposition aux rayonnements ionisants par rapport à des volumes d’exploration plus larges, mais également d’obtenir une meilleure résolution spatiale. Les paramètres retenus sont un champ de 4 × 4 cm, une dose (DAP) de 145 mGy·cm² et une taille de voxel de 125 µm.
QUIZ 3
Que voyez-vous sur les coupes du CBCT présentées aux figures 2 à 6 ?
Réponse 3
Les images CBCT mettent en évidence une lésion radio-opaque bien circonscrite au niveau antérieur maxillaire, constituée de multiples petites structures calcifiées à morphologie « dentaire ». L’aspect en amas de « micro-dents »…
