Contexte clinique initial
Réalisation d’une radiographie panoramique dans le cadre d’un bilan orthodontique chez un patient âgé de 17 ans, sans symptomatologie douloureuse.
Quiz 1
Quelle anomalie radiologique observez-vous sur cette radiographie panoramique ?
Comment la nommeriez-vous ?
Quels diagnostics différentiels pourraient être évoqués ?
Quels examens complémentaires et/ou quelle conduite à tenir recommanderiez-vous ?
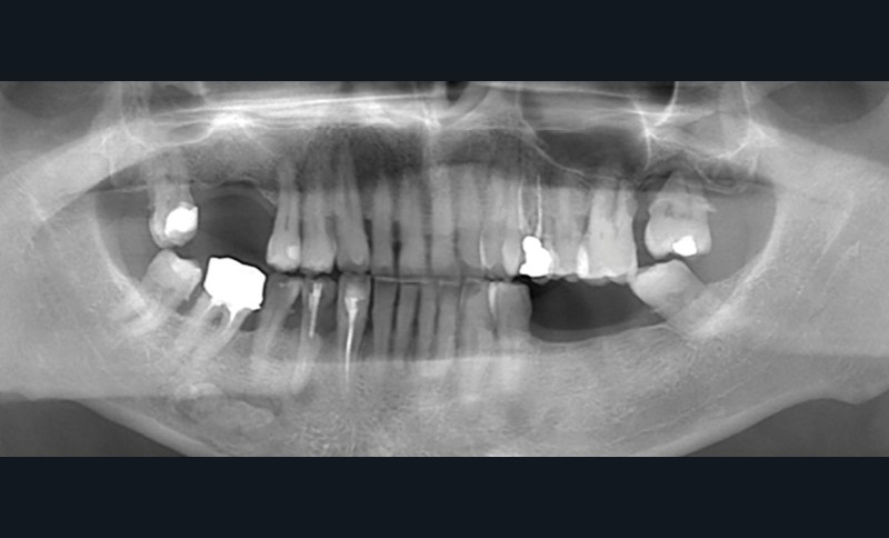
Réponse 1
Observations : Outre les constatations habituelles (dents dévitalisées, point sur les 3e molaires, etc.) et outre la calcification des ligaments stylo-hyoïdiens droit et gauche, on observe en regard de la dent 36, au niveau sous-apical, une image radio-opaque arrondie, bien limitée, indépendante des racines. La dent 36 apparaît vitale, indemne de lésion carieuse ou de remaniement péri-apical.
Interprétation : L’aspect évoque en première intention une ostéosclérose idiopathique. Une lithiase salivaire (ou sialolithiase, affection définie par la formation de calculs ou sialolithes) pourrait également être discutée, de même qu’un ostéome périphérique (tumeur bénigne constituée d’os dense normal) en projection sur ce cliché. Toutefois, la morphologie et la localisation sont en faveur d’une forme idiopathique.
Conduite à tenir : Un suivi radiologique régulier est à préconiser au moyen d’une radiographie panoramique tous les deux ans. Aucun examen complémentaire n’est nécessaire en l’absence d’évolution atypique ou de caractéristiques radiographiques suspectes. Si nécessaire, pour asseoir définitivement le diagnostic, un CBCT peut être réalisé (petit champ : champ 4×4, dose 188mGy.cm², voxel 125 µ).
Contexte clinique Quiz 2
Réalisation d’une radiographie panoramique chez un patient âgé de 62 ans, sans/avec symptomatologie douloureuse.
Quiz 2
Quelle anomalie radiologique observez-vous sur cette radiographie panoramique ?
Comment…
