La greffe gingivale libre
La réussite de la greffe gingivale libre passe par l’analyse et la maîtrise de critères liés à la technique chirurgicale, au praticien et au patient. Parmi ces critères, il convient d’évaluer si la situation préo–pératoire présente des risques, notamment en évaluant l’épaisseur des berges du futur lit receveur, ainsi que la quantité de racine à recouvrir. L’absence de prise en compte de ces éléments peut potentiellement conduire à une erreur thérapeutique.
Plus généralement, le stress lié à l’expérience du praticien et celui dégagé par le patient doivent aussi être pris en compte dans la réussite de l’intervention.
Selon le Dr Sylvie Pereira, lors de la réalisation de cette technique, le lambeau d’épaisseur partielle est suturé apicalement par trois points de sutures périostées matelassiers horizontaux. De plus, elle préconise de positionner le nœud du point de suture si le greffon est fin pour le maintenir au plus près du lit receveur.
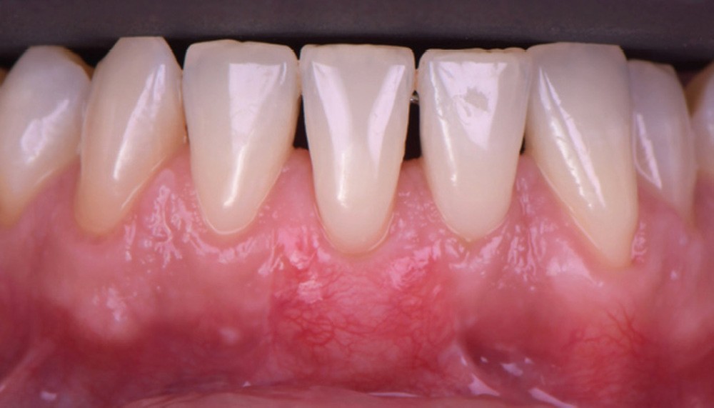
Le lambeau positionné coronairement associé à une greffe de conjonctif enfoui (fig. 1-4)
La stabilité du lambeau est primordiale dans la réussite de cette technique de recouvrement. En cas d’instabilité, même en l’absence d’erreurs techniques, l’analyse de certains facteurs liés au patient est indispensable. Afin de maintenir la stabilité du lambeau jusqu’à la dépose des points, le praticien doit veiller à l’adéquation du contrôle de plaque effectué par le patient, à l’absence de mastication impliquant la zone d’intervention, à la prévention de tout traumatisme ou de modifications des conditions locales par le patient.
Selon le Dr Sylvie Pereira, contrairement au maxillaire où la hauteur du lambeau déplacé coronairement est déterminée par la profondeur de la récession, à la mandibule, les incisions horizontales sont placées de manière à obtenir au moins 2 mm de tissu…



