Conventionnellement, la stratégie thérapeutique est élaborée à partir du diagnostic réalisé à l’issue des examens cliniques, fonctionnels et complémentaires. Cependant, il peut arriver au cours du traitement qu’une réévaluation thérapeutique soit nécessaire pour le mener à son terme.
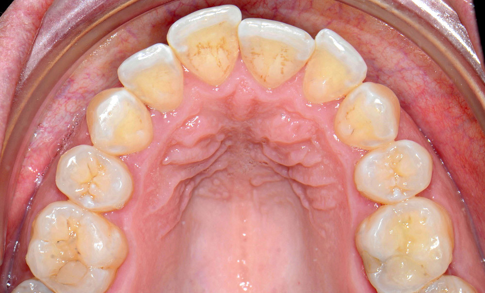
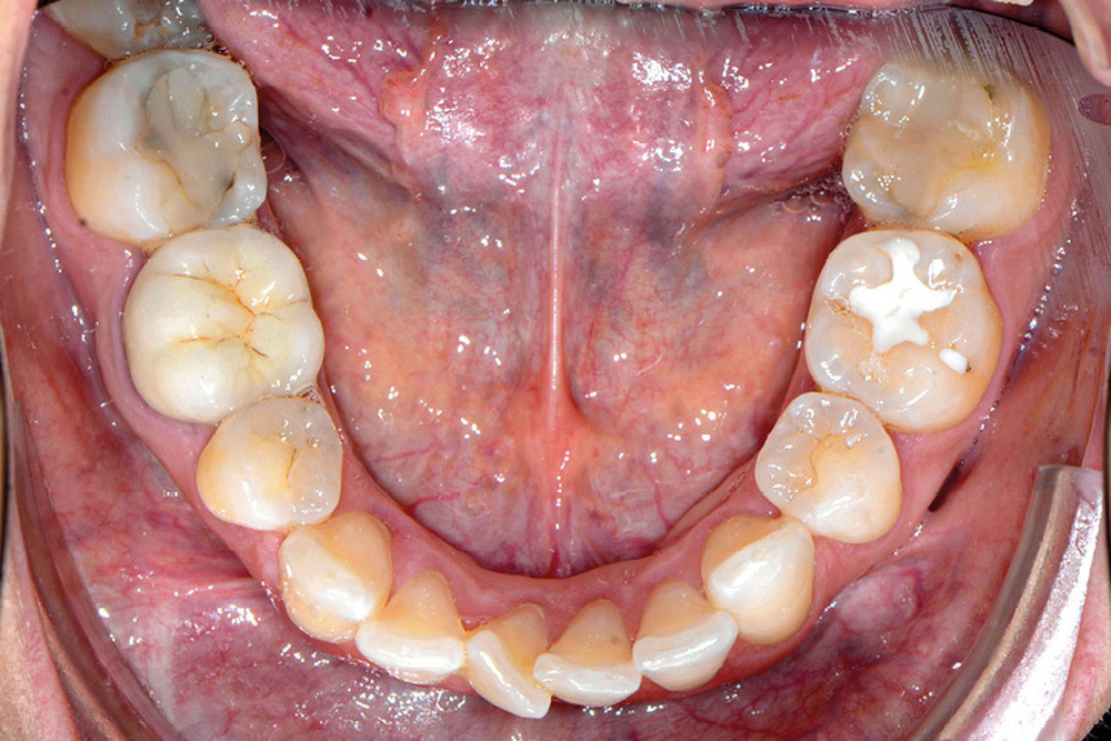
C’est précisément le cas de cette patiente de 33 ans qui présente une classe II squelettique par rétrognathie mandibulaire sur un schéma vertical hyperdivergent associée à une classe II/1 dentaire avec DDA par excès et biproalvéolie. Son profil est convexe, cis-frontal et, sur le plan fonctionnel, on peut observer une dysfonction linguale et une incompétence labiale au repos. Il en résulte une contracture des muscles de la sphère péri-orale lèvres jointes. La formule dentaire n’est pas complète puisque les quatre deuxièmes prémolaires ont été extraites lors d’un premier traitement orthodontique et qu’il y a également agénésie des troisièmes molaires 18 et 38 (fig 1 à 11).
Au regard de ces éléments, la décision thérapeutique choisie intègre une prise en charge orthodontique associée à une chirurgie orthognathique d’avancement mandibulaire et à une mentoplastie. L’étape initiale du traitement orthodontique consiste en la levée des compensations dentaires qui se traduit par la correction de la proalvéolie mandi– bulaire dans le but de pouvoir corriger la classe II squelettique et dentaire par avancement chirur- gical de la mandibule. Pour cela, des mini-vis d’ancrage sont positionnées distalement aux secteurs 3 et 4, enfouies à la base des branches mandibulaires avec des chaînettes métalliques émergentes dans la cavité buccale. L’objectif est d’assurer le repositionnement incisif mandibulaire grâce à des modules élastiques.
Cependant, en cours de traitement, durant cette phase préparatoire à la chirurgie…

_copie-tt-width-800-height-484-fill-1-crop-0-bgcolor-12181f-isLogoProxy-0-post_id-152865.jpg)


_copie-tt-width-800-height-484-fill-1-crop-0-bgcolor-12181f-isLogoProxy-0-post_id-152865.jpg)

-tt-width-800-height-484-fill-1-crop-0-bgcolor-12181f-isLogoProxy-0-post_id-152865.jpg)
-tt-width-800-height-484-fill-1-crop-0-bgcolor-12181f-isLogoProxy-0-post_id-152865.jpg)
