Approche diagnostique
Les résorptions radiculaires inflammatoires externes surviennent après un traumatisme sévère comme une avulsion (fig. 1) ou une luxation [3], où la couche protectrice de précément et le parodonte sont altérés. Ces traumatismes peuvent provoquer une compression tissulaire au niveau du ligament parodontal, induisant des lésions vasculaires, une hypoxie et une perte d’intégrité du cément. Si la dent est restée vivante alors, un processus de réparation se met en place avec l’apposition d’un nouveau cément et d’une nouvelle attache. En revanche, si la dent venait à se nécroser, alors les stimuli pro inflammatoires résultant de l’activité des bactéries au sein du canal vont diffuser à travers les tubuli dentinaires et rejoindre les zones de résorption externe, et ainsi vont aggraver le processus résorptif qui est déjà actif [4].
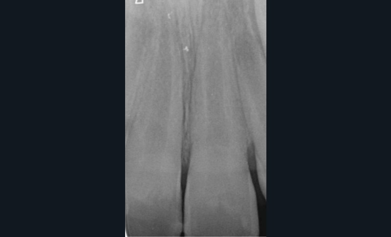
Les RREI se manifestent par des signes de parodontite apicale : douleur, gonflement, sensibilité à la percussion ou à la palpation, fistule ou dyschromie de la couronne. En général, la dent affectée présente une réponse négative aux tests de sensibilité pulpaire [5]. L’examen radiographique montre des zones radioclaires irrégulières (aspect déchiqueté) autour de la racine lorsque la résorption est active. Le canal radiculaire reste visible et bien identifiable. Dans les cas avancés de résorption, la racine peut être complètement résorbée. Un examen 3D (CBCT : Cone Beam Computed Tomography) est recommandé pour aider au diagnostic et à la prise en charge de la RREI qui, cliniquement, semble traitable [6].
Approche thérapeutique
Après un traumatisme dentaire, un suivi clinique et radiographique régulier est essentiel pour détecter les premiers signes de RREI. La pulpe des dents permanentes immatures peut survivre ou se revasculariser spontanément après une luxation, ce qui justifie d’éviter un traitement…


