La santé orale de l’athlète
Comme dans la population générale, l’érosion dentaire, la maladie carieuse, l’inflammation gingivale et la maladie parodontale sont les affections les plus fréquemment retrouvées chez les athlètes [1].
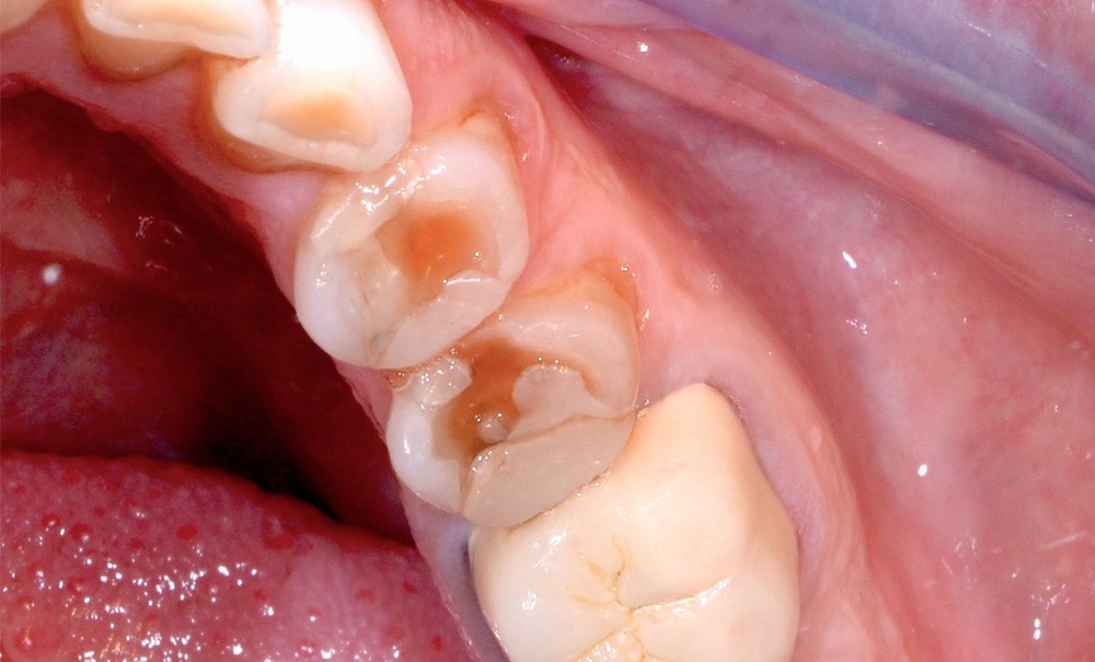
Les nageurs professionnels sont notamment des sujets à un risque élevé d’érosion et d’hypersensibilité dentaire. La chloration de l’eau des piscines oxyde les matières organiques et tue les micro-organismes. Une étude chez des nageurs de compétition indique une prévalence de l’érosion dentaire de 48,2 % et de 69,6 % pour l’hypersensibilité [2]. Une autre étude a également montré que les nageurs professionnels sont plus exposés que les non professionnels [3] (fig. 1).
L’évaluation de la santé orale des footballeurs professionnels du FC Barcelone a indiqué un indice CAOD moyen de 5,7 ± 4,1 [4]. Un examen clinique réalisé sur les jeunes footballeurs du club d’Atalanta Bergame a montré une proportion plus élevée de leucomes précarieux (42,85 % versus 2 %) [5]. L’enquête sur leurs habitudes d’hygiène orale a également montré qu’ils se brossaient moins souvent les dents que les jeunes non sportifs. Un examen clinique pratiqué sur des footballeurs professionnels adultes au Royaume-Uni a révélé que 37 % étaient porteurs de caries actives. Les habitudes alimentaires, l’activité à haute intensité ainsi que les mauvaises habitudes d’hygiène orale expliquaient ces mauvais résultats [6].
Plusieurs études ont révélé que 30 à 60 % des athlètes déclarent des saignements gingivaux ; 60 à 97 % ont un score d’inflammation gingivale de 1-2 après examen clinique ; 58 % à 64 % sont atteints de gingivite ; 5 à 40 % ont des signes de parodontite de score 3-4, avec une perte d’attache supérieure à 3,5 mm [7]. Une étude récente a encore montré chez des joueurs de football professionnels au Portugal…

